Pulpitis: Kenali Gejala dan Penanganannya
Cari Tahu Sebelum Terlambat!

DAFTAR ISI
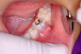
Pulpitis adalah peradangan pada pulpa gigi, bagian dalam gigi yang mengandung pembuluh darah dan saraf.
Kondisi ini sering kali disebabkan oleh infeksi bakteri yang menyerang pulpa gigi, menyebabkan rasa sakit yang hebat.
Pulpitis dapat dibagi menjadi dua jenis, yaitu pulpitis reversibel dan pulpitis ireversibel.
Pada pulpitis reversibel, peradangan masih bisa sembuh jika penyebabnya diatasi, seperti dengan mengobati gigi berlubang atau menghindari rangsangan yang memperburuk rasa sakit.
Namun, jika pulpitis berkembang menjadi bentuk ireversibel, pulpa gigi akan mengalami kerusakan permanen, yang sering memerlukan prosedur seperti perawatan saluran akar atau bahkan pencabutan gigi.
Jika dibiarkan, pulpitis bisa mengarah pada komplikasi serius, termasuk kehilangan gigi.
4 Gejala umum dari Pulpitis
Gejala utama pulpitis meliputi rasa sakit yang tajam atau berdenyut pada gigi yang terinfeksi.
Rasa sakit ini sering kali terjadi secara tiba-tiba dan bisa memburuk dengan waktu.
😩 Nyeri Tiba-tiba atau Berdenyut
Rasa sakit yang datang mendadak atau berdenyut bisa muncul setelah makan makanan atau minuman panas, dingin, atau manis.
Rasa sakit bisa sangat mengganggu aktivitas sehari-hari dan mempengaruhi kualitas hidup.
😩 Sensitivitas Gigi yang Meningkat
Gigi bisa menjadi sangat sensitif terhadap perubahan suhu atau makanan manis.
Sensitivitas yang berkelanjutan bisa menunjukkan adanya kerusakan pada pulpa dan memerlukan perawatan medis segera.
😩 Nyeri saat Menggigit atau Menekan Gigi
Gigi yang terinfeksi mungkin terasa sakit saat dikunyah atau ditekan, menandakan kerusakan pada pulpa.
Nyeri bisa berlangsung lama, mengganggu kemampuan untuk makan atau berbicara dengan nyaman.
😩 Perubahan Warna Gigi
Gigi yang terinfeksi pulpitis mungkin menunjukkan perubahan warna menjadi lebih gelap atau keabu-abuan.
Perubahan warna ini menandakan kerusakan yang lebih serius dan dapat memerlukan perawatan gigi yang intensif.
Cara Mengenali Pulpitis di Rumah
Pulpitis bisa dikenali dengan memperhatikan gejala-gejalanya, seperti rasa sakit yang berkepanjangan atau sensitif terhadap rangsangan tertentu.
Ini adalah tanda awal dari masalah pada pulpa gigi.
1. Mengidentifikasi Rasa Sakit setelah Makan
Cobalah untuk mengidentifikasi apakah rasa sakit muncul setelah makan atau minum makanan panas, dingin, atau manis.
Gejala ini bisa tumpang tindih dengan masalah gigi lain, seperti gigi sensitif, yang membutuhkan diagnosis profesional.
2. Nyeri yang Berlanjut Beberapa Jam
Jika rasa sakit berlanjut lebih dari beberapa jam, ini bisa menandakan infeksi pada pulpa gigi.
Rasa sakit yang berkepanjangan memerlukan perhatian medis segera, karena bisa jadi pertanda masalah serius pada gigi.
3. Perubahan dalam Sensitivitas
Gigi mungkin lebih sensitif terhadap suhu panas atau dingin.
Sensitivitas yang berkepanjangan tanpa perawatan bisa memperburuk kondisi dan menyebabkan kerusakan permanen pada gigi.
4. Perasaan Sakit Saat Berbicara atau Tertawa
Nyeri yang meningkat saat berbicara atau tertawa bisa menjadi tanda pulpitis.
Ini bisa sangat mengganggu aktivitas sosial sehari-hari dan memerlukan perhatian medis segera.
Faktor Risiko dari Pulpitis
Beberapa faktor dapat meningkatkan risiko terkena pulpitis, terutama kebiasaan buruk dalam merawat gigi dan adanya penyakit gigi yang sudah ada.
Kebiasaan seperti tidak menyikat gigi dengan benar atau sering mengonsumsi makanan manis dapat menyebabkan gigi berlubang, yang berpotensi memicu pulpitis.
Selain itu, gigi berlubang yang tidak diobati atau riwayat masalah gigi seperti infeksi gusi dapat memperburuk kondisi ini.
Dan orang dengan diabetes atau gangguan sistem imun lebih rentan terhadap infeksi gigi, yang memperlambat proses penyembuhan dan meningkatkan risiko komplikasi.
4 Penyebab Pulpitis
Ada berbagai penyebab yang bisa menyebabkan gigi terasa ngilu:
🦷 Gigi Berlubang yang Tidak Dirawat

Bakteri dapat masuk ke dalam gigi yang berlubang dan menginfeksi pulpa.
Pencabutan gigi berlubang atau perawatan lainnya memerlukan waktu dan biaya, serta prosedur yang bisa terasa tidak nyaman.
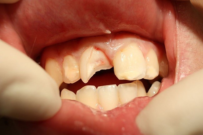
😫 Cedera pada Gigi

Benturan pada gigi yang menyebabkan retakan atau patah dapat memungkinkan bakteri masuk dan menyebabkan pulpitis.
Cedera gigi seringkali membutuhkan prosedur darurat untuk memperbaiki dan menghindari infeksi lebih lanjut.
🦷 Perawatan Gigi yang Tidak Tepat

Penanganan tambalan atau prosedur gigi yang buruk bisa memperburuk kondisi dan menyebabkan pulpitis.
Kesalahan dalam prosedur medis atau pemeliharaan gigi bisa memperburuk masalah dan memerlukan perawatan tambahan.
😬 Kebiasaan Merokok

Merokok dapat menurunkan kemampuan tubuh untuk melawan infeksi, meningkatkan risiko pulpitis.
Kebiasaan merokok juga bisa memperlambat proses penyembuhan dan meningkatkan kerusakan pada gigi dan gusi.
4 Akibat Jika Pulpitis Dibiarkan
Jika pulpitis tidak segera diobati, infeksi pada pulpa gigi dapat menyebar, menyebabkan abses atau bahkan kehilangan gigi secara permanen.
Infeksi yang dibiarkan juga bisa mengarah pada masalah kesehatan yang lebih serius.
😰 Infeksi yang Menyebar ke Gusi dan Jaringan Sekitar
Infeksi yang dibiarkan bisa menyebar ke jaringan gusi dan menyebabkan abses.
Abses gigi bisa menjadi sangat nyeri dan memerlukan perawatan medis segera, seperti drainase abses.
😯 Kehilangan Gigi
Jika pulpitis semakin parah, gigi bisa rusak permanen dan perlu dicabut.
Kehilangan gigi membutuhkan penggantian dengan prosedur seperti implan gigi, yang memerlukan waktu dan biaya tinggi.
🤒 Komplikasi Kesehatan Lainnya
Infeksi yang tidak diobati dapat menyebabkan masalah kesehatan lebih lanjut, seperti infeksi darah atau pembengkakan yang meluas.
Komplikasi serius ini bisa berisiko tinggi bagi kesehatan umum dan memerlukan perawatan medis intensif.
🩸 Kebocoran Nanah ke Dalam Pembuluh Darah
Infeksi yang meluas dapat menyebabkan nanah bocor ke dalam pembuluh darah, yang bisa berbahaya jika tidak ditangani segera.
Keadaan ini bisa menyebabkan septicemia, yang memerlukan penanganan darurat di rumah sakit.
3 Cara Mengatasi Pulpitis di Rumah
Pengobatan mandiri untuk pulpitis dapat membantu meredakan rasa sakit, meskipun perawatan medis tetap diperlukan untuk menyembuhkan infeksi secara permanen.
Berikut adalah beberapa cara yang bisa dicoba di rumah.
🪥 Kompres Dingin

Kompres dingin pada pipi di sekitar gigi yang sakit dapat membantu mengurangi rasa sakit dan peradangan.
Ini hanya solusi sementara yang tidak menyembuhkan penyebab infeksi secara permanen.
🥃 Garam dan Air Hangat

Berkumur dengan air garam hangat dapat membantu membersihkan mulut dan mengurangi peradangan.
Metode ini hanya membantu mengurangi ketidaknyamanan sementara dan tidak menyembuhkan infeksi.
🍫 Hindari Makanan yang Memperburuk Nyeri

Menghindari makanan yang sangat panas, dingin, atau manis dapat membantu mencegah rasa sakit yang semakin parah.
Ini hanya langkah sementara untuk meringankan gejala dan bukan solusi jangka panjang.
3 Obat untuk Meredakan Pulpitis
Jika Kamu sudah ngelakuin semua untuk mengatasi Pulpitis di atas, tapi tak kunjung sembuh juga.

Kalau mau (dan tidak takut efek samping) Kamu bisa coba mengkonsumsi obat kimia, seperti:
1. Ibuprofen
Obat anti-inflamasi nonsteroid (NSAID) ini bisa membantu Kamu meredakan nyeri sekaligus mengurangi peradangan.
Tapi, Ibuprofen bisa menyebabkan iritasi lambung, sakit perut, mual hingga muntah.
Penggunaan jangka panjang dari Ibuprofen bisa meningkatkan risiko perdarahan lambung atau usus, serta efek negatif pada ginjal.
2. Parasetamol (Acetaminophen)
Obat ini bisa mengurangi nyeri ringan hingga sedang saat pulpitis ringan sedang kambuh.
Obat ini bisa lebih aman untuk lambung daripada Ibuprofen.
Namun, meski umumnya lebih aman untuk lambung, Parasetamol bisa menyebabkan kerusakan hati jika dikonsumsi dalam dosis tinggi atau jangka panjang.
3. Asam Mefenamat
Sering digunakan untuk mengobati gigi ngilu karena gejala pulpitis, mulai dari ngilu sedang hingga berat.
Seperti obat yang lainnya, Asam Mefenamat bisa menimbulkan sakit perut, diare, mual hingga pusing.
Penggunaan jangka panjang atau dalam dosis tinggi juga bisa menyebabkan masalah pada lambung Kamu.
⚠️ ⚠️ ⚠️
hati-hati!!
Mengkonsumsi obat kimia secara berlebihan dapat berdampak negatif bagi tubuh kamu.
Selain itu, tidak menjamin pulpitis Kamu akan langsung sembuh.
Jika mencari alternatif pengobatan dan produk obat yang aman dan alami, tanpa mengorbankan efektivitas, Kamu bisa mencoba solusi herbal untuk mengobati gigi ngilu.
Solusi Herbal untuk Meredakan Pulpitis

Gumafixa Satu-Satunya Obat Sakit Gigi Herbal Yang Terdaftar di BPOM
Terbuat dari Oleum Syzigium Aromantiticum Folium (minyak cengkeh) dan Peppermint (daun mint) (tanpa tambahan bahan kimia), Gumafixa sudah teruji klinis oleh Badan POM RI.
Gumafixa sudah dipercaya ampuh mengatasi masalah gigi dan mulut, salah satunya pulpitis 😉
Karena berbahan herbal 100% Kamu bisa merawat kesehatan mulut di rumah dengan Gumafixa tanpa khawatir akan efek samping.
Keunggulan Obat Sakit Gigi Gumafixa


Obat Sakit Gigi Herbal Terbaik di Indonesia, Terbukti 15X Lebih Efektif

Menyembuhkan Sakit Gigi Dalam 1-2 Menit

Membunuh Bakteri dan Kuman di Sekitar Gigi dan Gusi

100% Herbal Tanpa Campuran Kimia dan Tanpa Efek Samping

Obat Sakit Gigi Herbal Pertama yang RESMI Terdaftar di BPOM

11.746+ orang Sudah Merasakan keampuhan Gumafixa

beberapa testimoni pelanggan yang sudah membuktikan keampuhan Gumafixa
Segera atasi sakit gigi Kamu dan orang terkasihmu dengan Gumafixa.
“Cara pakai Gumafixa gimana ya?“
Cara pakai Gumafixa sangat mudah, Kamu cukup lakukan 3 langkah berikut:
- Teteskan obat sakit gigi Gumafixa di kapas,
- Tempelkan pada area pulpitis yang terinfeksi tahan hingga 2 – 3 menit,
- Lepaskan kapas dan rasakan gigi Kamu udah gak sehat lagi.
Dewasa : 3-4 tetes, 3 sampai 4 kali sehari.
Anak usia 2 tahun+ : 1-2 tetes, 2 sampai 3 kali sehari.
“Berapa sih harga Gumafixa??“
Harga Gumafixa cuma 200 ribu lhoo…
Dengan harga 200 ribu:
- Kamu terbebas dari gigi ngilu akibat pulpitis 🥳
- Gigi Kamu gak jadi dicabut karena nyeri giginya udah hilang 😁
- Lambung dan ginjal aman karena 100% non-kimia 💊
- Makan dan minum lebih nikmat lagi 😋
- Hidup lebih produktif dan enjoy dalam menjalankan aktivitas sehari-hari 💃
“Tertarik nih, tapi ada diskon gak ya??“
KHUSUS HARI INI
GUMAFIXA SEDANG DISKON
*Kuota diskon terbatas hanya untuk 10 pembeli pertama!

200 RIBU
175 rb
Diskon akan berakhir dalam:
Dari harga Gumafixa di atas Kamu juga akan mendapatkan benefit:
✅ 100% Konsultasi Gratis (24/7 365)
✅ Gratis Ongkir (Hingga 25.000)
✅ Bisa COD (Bayar di Tempat)
✅ Pengiriman Cepat (Bisa Instant & Same Day)
✅ Jaminan Produk Asli Dengan Harga Termurah
"tapi... Cara Belinya gimana ya??"
Tenang... Kamu gak perlu bingung.
Kamu bisa mengisi form dibawah ini untuk membeli GUMAFIXA, sekaligus konsultasi dan bisa mendapatkan promo spesial lainnya 😍
Kami siap mengirimkan GUMAFIXA di manapun Kamu berada di seluruh Indonesia dan Kami siap melayani 24 jam non-stop 😉
Atau, jika Kamu punya aplikasi Shopee, Tiktok, atau Tokopedia, Kamu tinggal tanya ke Customer Service Kami.
Kamu akan diberikan Link Produk dari Toko Official Kami.
Hati-hati sudah banyak barang tiruan GUMAFIXA, jadi pastiin Kamu dapat link langsung dari Customer Service Kami, Ya 😊

Kamu akan mendapatkan garansi 100% uang kembali jika:
- Produk yang Kami kirim bukan produk asli
- Produk tidak sampai di tangan Kamu
- Produk yang diterima rusak atau tidak sesuai pesanan
Terimakasih telah membaca sampai selesai, semoga dengan Gumafixa permasalahan pulpitis Kamu terselesaikan 🙏
Disclaimer :
"Hasil setiap orang dapat berbeda-beda tergantung pada kondisi tubuh serta tingkat masalah yang dimiliki. Manfaat yang dirasakan setelah pemakaian produk juga bervariasi. Gunakan informasi produk yang asli di halaman ini sebagai referensi"





