Polip Gigi: Jangan Anggap Sepele!

Atasi Sebelum Lebih Parah!

DAFTAR ISI

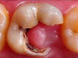
Apa Itu Polip Gigi?

5 Gejala yang Sering Timbul dari Polip Gigi

Ada beberapa gejala yang timbul dari polip gigi atau polip pulpa ini.

Tapi biasanya lebih menimbulkan ketidaknyamanan, seperti:

🙀 Rasa nyut-nyutan yang mengganggu

Sensasi ini bisa bertambah saat terkena makanan atau minuman, terutama yang panas atau dingin.

Nyeri biasanya konstan atau bisa terasa makin parah di malam hari.

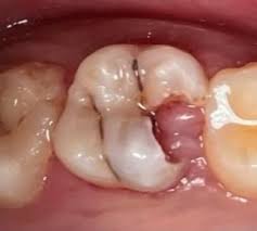
😫 Adanya benjolan lunak yang terasa sakit

Polip pulpa sering kali muncul sebagai jaringan daging berwarna merah muda yang terlihat di lubang gigi. Tekanannya dapat memicu rasa nyeri.

🤢 Bau atau rasa tidak sedap di mulut

Infeksi pada area polip sering menyebabkan penumpukan bakteri, yang memicu bau mulut.

Ini bisa menjadi tanda awal adanya masalah serius.

😖 Gusi di sekitar gigi terasa bengkak

Peradangan akibat polip tidak hanya terbatas pada jaringan di dalam gigi, tetapi juga memengaruhi area gusi terdekat, membuatnya terasa lunak dan bengkak.

🩸 Pendarahan ringan pada jaringan daging

Polip yang teriritasi, misalnya saat mengunyah, bisa menyebabkan keluarnya darah ringan.

Biasanya terjadi saat jaringan tersebut bergesekan dengan makanan atau sikat gigi.

Cara Mengenali Polip Gigi di Rumah

Kamu bisa mencoba beberapa langkah sederhana ini di rumah untuk mengetahui seberapa parah polip gigi Kamu.

1. Perhatikan apakah ada benjolan di lubang gigi

Polip gigi sering kali terlihat sebagai daging kecil yang muncul dari dalam lubang gigi.

Jika benjolan tersebut terasa sensitif atau sakit saat disentuh, ini bisa jadi tanda adanya polip.

2. Apakah nyeri semakin parah saat makan atau minum?

Jika rasa sakit bertambah saat mengunyah makanan keras atau saat terkena minuman panas/dingin, ini bisa mengindikasikan polip yang sedang teriritasi.

3. Cek bau mulut yang sulit hilang

Infeksi pada polip biasanya menyebabkan bau mulut tak sedap, meskipun Kamu sudah membersihkan mulut secara rutin.

4. Amati adanya pendarahan saat menyikat gigi

Jaringan polip mudah berdarah, terutama jika bergesekan dengan sikat gigi atau makanan. Pendarahan ini biasanya disertai nyeri yang tajam.

5 Penyebab dari Nyerinya Polip Gigi

Kamu udah tau nih gejala umum yang bisa muncul jika nyeri polip muncul.

Sekarang, Kamu juga perlu tau apa penyebab munculnya nyeri dari polip ini.

🦠 Infeksi bakteri pada pulpa gigi

Infeksi bakteri di dalam gigi berlubang memicu peradangan pada bagian pulpa, yang dapat berkembang menjadi polip.

Ini adalah penyebab utama rasa nyeri yang terus-menerus.

🦷 Kerusakan gigi berlubang yang parah

Polip gigi sering terjadi pada gigi dengan kerusakan besar yang tidak dirawat.

Lubang ini membuka jalan bagi bakteri untuk menyerang pulpa gigi, menyebabkan iritasi dan pembengkakan jaringan.

🫢 Iritasi pada gigi yang sudah rusak

Gigi yang rusak lebih rentan terhadap tekanan saat makan atau benturan, menyebabkan jaringan pulpa gigi menjadi lebih teriritasi.

Trauma ini sering kali memicu rasa sakit tambahan.

🪥 Kebersihan mulut yang kurang terjaga

Penumpukan plak dan sisa makanan di sekitar gigi berlubang memperburuk kondisi, memicu infeksi, dan akhirnya menyebabkan polip gigi yang menyakitkan.

😖 Kebiasaan makan makanan manis atau lengket

Gula dan makanan lengket meningkatkan risiko pertumbuhan bakteri, mempercepat kerusakan gigi, dan menyebabkan peradangan pada jaringan pulpa gigi.

Akibat Jika Polip Gigi Tidak Disembuhkan

Jika Kamu sudah mengalami polip gigi seperti di atas…

…Kamu perlu berhati-hati ❗

Mengabaikan nyeri polip gigi bisa memicu masalah kesehatan yang lebih serius, baik di area mulut maupun tubuh secara keseluruhan.

1. Infeksi yang menyebar

2. Kerusakan permanen pada gigi

3. Rasa nyeri yang lebih parah

4. Resiko kehilangan gigi

5. Masalah kesehatan umum akibat infeksi sistemik

4 Cara Menyembuhkan Polip Gigi di Rumah

Kamu udah tau nih penyebab dari polip gigi Kamu itu apa.

Selanjutnya, ada beberapa cara yang bisa bantu Kamu dalam menangani polip gigi ini:

🧊 Kompres dengan air dingin atau es batu

Kompres es batu yang dibungkus kain bisa mengurangi pembengkakan dan mati rasa pada area nyeri. Lakukan selama 15-20 menit.

Dalam pengompresan jangan terlalu lama atau terlalu kuat, karena bisa menyebabkan iritasi kulit atau memperburuk rasa sakit.

🫗 Berkumur dengan air garam hangat

Air garam membantu mengurangi peradangan dan membunuh bakteri di area gigi yang bermasalah.

Kumur perlahan selama 30 detik untuk meredakan nyeri sementara.

Namun, perlu diperhatikan! Jika digunakan terlalu sering atau air garam terlalu pekat, bisa bikin gusi jadi iritasi atau kering.

🛡️ Menghindari pemicu nyeri

Selama masa infeksi, hindari makanan dan minuman yang bisa memperburuk rasa sakit, seperti:

🚫 Makanan atau minuman panas dan dingin
🚫 Makanan keras atau renyah
🚫 Makanan manis

Bakteri di mulut akan memanfaatkan kandungan ini untuk memperparah infeksi.

Jika terus-menerus mengonsumsinya, infeksi bisa semakin parah dan penyembuhan semakin lama.

🍵 Kantong teh hitam hangat

Teh hitam mengandung tanin, yang bersifat antibakteri dan anti-inflamasi.

Menggunakan kantong teh hitam hangat pada area yang terinfeksi dapat membantu mengurangi peradangan dan menarik nanah keluar.

Namun, jangan terlalu lama menempelkannya.

Penggunaan yang berlebihan bisa menyebabkan iritasi atau memperburuk kondisi infeksi.

3 Obat untuk Meredakan Polip Gigi

Jika Kamu sudah ngelakuin semua untuk mengatasi polip gigi di atas, tapi tak kunjung sembuh juga.

Kalau mau (dan tidak takut efek samping) Kamu bisa coba mengkonsumsi obat kimia, seperti:

1. Ibuprofen atau paracetamol

Obat pereda nyeri ini dapat membantu mengurangi inflamasi dan rasa sakit pada polip gigi.

Pastikan mengikuti dosis yang dianjurkan di kemasan.

Penggunaan jangka panjang dari Ibuprofen bisa meningkatkan risiko perdarahan lambung atau usus, serta efek negatif pada ginjal.

2. Salep anestesi lokal (lidokain)

Salep lidokain dapat langsung digunakan pada area yang nyeri untuk memberikan efek mati rasa sementara.

Ini membantu mengurangi rasa sakit dengan cepat.

Salep ini hanya memberikan kelegaan sementara dan bisa membuat area mulut terasa kebas, jadi perlu hati-hati saat menggunakannya.

3. Obat kumur antiseptik (chlorhexidine)

Obat kumur yang mengandung chlorhexidine membantu mengurangi bakteri di sekitar gigi dan jaringan yang terinfeksi.

Penggunaan rutin dapat mengurangi rasa sakit dan mencegah infeksi lebih lanjut.

Penggunaan jangka panjang bisa menyebabkan perubahan rasa di mulut dan noda pada gigi.

Jika mencari alternatif pengobatan dan produk obat yang aman dan alami, tanpa mengorbankan efektivitas, Kamu bisa mencoba solusi herbal untuk mengobati polip gigi.

Solusi Herbal untuk Menyembuhkan Polip Gigi

Terbuat dari Oleum Syzigium Aromantiticum Folium (minyak cengkeh) dan Peppermint (daun mint) (tanpa tambahan bahan kimia), Gumafixa sudah teruji klinis oleh Badan POM RI.

Gumafixa sudah dipercaya ampuh mengatasi masalah gigi dan mulut, salah satunya polip gigi 😉

Karena berbahan herbal 100% Kamu bisa merawat kesehatan mulut di rumah dengan Gumafixa tanpa khawatir akan efek samping.

Keunggulan Obat Sakit Gigi Gumafixa

11.746+ orang Sudah Merasakan keampuhan Gumafixa

beberapa testimoni pelanggan yang sudah membuktikan keampuhan Gumafixa

Segera atasi sakit gigi Kamu dan orang terkasihmu dengan Gumafixa.

Cara pakai Gumafixa gimana ya?

Cara pakai Gumafixa sangat mudah, Kamu cukup lakukan 3 langkah berikut:

Berapa sih harga Gumafixa??

  • Kamu terbebas dari polip gigi 🥳
  • Gigi Kamu gak jadi dicabut karena polip gigi udah hilang 😁
  • Lambung dan ginjal aman karena 100% non-kimia 💊
  • Makan dan minum lebih nikmat lagi 😋
  • Hidup lebih produktif dan enjoy dalam menjalankan aktivitas sehari-hari 💃

Tertarik nih, tapi ada diskon gak ya??

KHUSUS HARI INI
GUMAFIXA SEDANG DISKON

*Kuota diskon terbatas hanya untuk 10 pembeli pertama!

00 Jam
00 Menit
00 Detik

Dari harga Gumafixa di atas Kamu juga akan mendapatkan benefit:

✅ 100% Konsultasi Gratis (24/7 365)
✅ Gratis Ongkir (Hingga 25.000)
✅ Bisa COD (Bayar di Tempat)
✅ Pengiriman Cepat (Bisa Instant & Same Day)
✅ Jaminan Produk Asli Dengan Harga Termurah

"tapi... Cara Belinya gimana ya??"

Tenang... Kamu gak perlu bingung.

Kamu bisa mengisi form dibawah ini untuk membeli GUMAFIXA, sekaligus konsultasi dan bisa mendapatkan promo spesial lainnya 😍

GMF GOOGLE (WhatsApp Form)

Kami siap mengirimkan GUMAFIXA di manapun Kamu berada di seluruh Indonesia dan Kami siap melayani 24 jam non-stop 😉

Atau, jika Kamu punya aplikasi Shopee, Tiktok, atau Tokopedia, Kamu tinggal tanya ke Customer Service Kami.

Kamu akan diberikan Link Produk dari Toko Official Kami.

Hati-hati sudah banyak barang tiruan GUMAFIXA, jadi pastiin Kamu dapat link langsung dari Customer Service Kami, Ya 😊

Terimakasih telah membaca sampai selesai, semoga dengan Gumafixa permasalahan polip gigi Kamu terselesaikan 🙏


Disclaimer :
"Hasil setiap orang dapat berbeda-beda tergantung pada kondisi tubuh serta tingkat masalah yang dimiliki. Manfaat yang dirasakan setelah pemakaian produk juga bervariasi. Gunakan informasi produk yang asli di halaman ini sebagai referensi"