Kenali Bahaya Gusi Hitam dan Cara Mengatasinya
Cari Tahu Sebelum Terlambat!

DAFTAR ISI
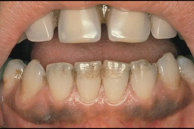
Gusi hitam sering kali dianggap sepele, padahal kondisi ini bisa menjadi tanda masalah kesehatan yang serius.
Warna gelap pada gusi dapat dipengaruhi oleh berbagai faktor, mulai dari kebiasaan buruk seperti merokok, konsumsi makanan atau minuman tertentu, hingga gangguan kesehatan seperti penyakit gusi atau kondisi genetik.
Bahkan, stres dan kurangnya kebersihan mulut dapat memperparah perubahan warna ini.
Dalam beberapa kasus, gusi hitam juga bisa dipicu oleh efek samping obat-obatan tertentu atau paparan logam berat.
Jika dibiarkan, perubahan warna ini dapat mengindikasikan masalah yang lebih parah seperti infeksi kronis.
Oleh karena itu, memahami penyebab gusi hitam sangat penting untuk mengambil langkah penanganan yang efektif dan menjaga kesehatan mulut secara menyeluruh.
4 Gejala umum dari Gusi Hitam
Gusi hitam dapat dikenali melalui perubahan warna gusi menjadi lebih gelap dari biasanya. Kondisi ini sering disertai tanda-tanda lain yang mengindikasikan adanya masalah kesehatan mulut.
π© Perubahan Warna pada Gusi
Warna gusi berubah menjadi cokelat gelap, biru, atau bahkan hitam sepenuhnya.
Sulit membedakan apakah perubahan warna ini disebabkan oleh faktor alami atau penyakit.
π© Gusi Terlihat Tidak Merata
Warna gelap hanya muncul di beberapa area tertentu pada gusi.
Bisa saja menjadi tanda awal masalah serius yang memerlukan pemeriksaan dokter.
π©Rasa Tidak Nyaman atau Nyeri
Gusi hitam terkadang disertai rasa nyeri atau tidak nyaman saat makan.
Nyeri ringan sering diabaikan, padahal ini bisa memperburuk kondisi.
π© Bau Mulut
Gusi hitam dapat memicu bau mulut karena adanya infeksi yang tidak terlihat.
Bau mulut sering dianggap masalah biasa, sehingga tidak segera ditangani.
Cara Mengenali Gusi Hitam di Rumah
Langkah sederhana dapat dilakukan untuk mengetahui apakah Anda memiliki gusi hitam yang memerlukan perhatian medis.
1. Periksa di Depan Cermin
Amati perubahan warna gusi secara langsung menggunakan pencahayaan yang baik.
Tidak semua orang dapat membedakan warna normal dan abnormal.
2. Tekan Gusi dengan Lembut
Jika warna hitam tidak memudar saat ditekan, bisa jadi itu tanda masalah.
Bisa menyebabkan nyeri pada gusi yang sensitif.
3. Amati Pola Penyebaran Warna Gelap
Jika warna hitam menyebar, ini bisa jadi tanda penyakit lebih serius.
Sulit bagi orang awam untuk memastikan penyebabnya.
4. Perhatikan Gejala Tambahan
Adanya nyeri, bengkak, atau bau mulut harus diwaspadai
Tidak semua gejala langsung terasa sehingga sering terlambat ditangani.
Faktor Risiko dari Gusi Hitam
Beberapa faktor dapat meningkatkan risiko munculnya gusi hitam, termasuk kebiasaan sehari-hari dan kondisi medis tertentu.
Kebiasaan merokok adalah salah satu penyebab utama, karena zat kimia dalam rokok dapat memicu pigmentasi pada gusi.
Selain itu, penggunaan obat-obatan tertentu juga dapat menyebabkan perubahan warna pada jaringan gusi.
Orang dengan penyakit gusi kronis atau diabetes lebih rentan mengalami gusi hitam akibat peradangan yang berkepanjangan.
4 Penyebab Gusi Hitam
Gusi hitam dapat disebabkan oleh berbagai hal, mulai dari faktor kebiasaan hingga gangguan kesehatan yang lebih serius:
π¬ Merokok

Nikotin dan tar pada rokok dapat menyebabkan pigmentasi berlebih pada gusi.
Perubahan warna ini sering kali bersifat permanen tanpa perawatan medis.
ππΏββοΈ Melanin Berlebih
Pigmen alami tubuh yang terlalu banyak dapat membuat gusi terlihat gelap.
Kondisi ini biasanya tidak berbahaya, tetapi sulit diubah tanpa tindakan estetika.
π¦· Infeksi Gusi

Infeksi bakteri dapat merusak jaringan gusi, menyebabkan perubahan warna.
Infeksi yang tidak ditangani dapat menyebar dan memperburuk kesehatan mulut.
π Penggunaan Obat-obatan

Obat tertentu, seperti antimalaria atau antibiotik, dapat menyebabkan pigmentasi gusi.
Warna gelap mungkin tetap ada meskipun obat dihentikan.
4 Akibat Jika Gusi Hitam Dibiarkan
Mengabaikan gusi hitam dapat memicu komplikasi yang lebih serius bagi kesehatan mulut dan tubuh.
π° Penyakit Gusi Kronis
Gusi hitam bisa menjadi tanda awal periodontitis, penyakit gusi yang parah.
Penyakit ini sulit disembuhkan jika sudah dalam tahap lanjut dan dapat menyebabkan kerusakan permanen pada jaringan gusi.
Jika tidak ditangani, periodontitis dapat mengarah pada hilangnya gigi dan bahkan infeksi yang menyebar ke bagian tubuh lain.
π― Kehilangan Gigi
Peradangan pada gusi hitam dapat merusak jaringan pendukung gigi.
Perlu prosedur mahal untuk menggantikan gigi yang hilang, seperti implan atau prostesis.
Kehilangan gigi dapat mengganggu fungsi mulut dan mempengaruhi kemampuan makan serta berbicara, dan dalam kasus ekstrem, menyebabkan deformitas wajah.
π€ Berkurangnya Kepercayaan Diri
Warna gusi yang gelap dapat membuat seseorang merasa malu untuk tersenyum.
Kelemahan: Dampak psikologis ini bisa memengaruhi kualitas hidup seseorang, menyebabkan rasa cemas dan menghindari interaksi sosial.
Ketidakpercayaan diri ini dapat memengaruhi kesehatan mental, yang pada gilirannya dapat berimbas pada hubungan sosial dan profesional.
π©Έ Kebocoran Nanah ke Dalam Pembuluh Darah
Infeksi yang meluas dapat menyebabkan nanah bocor ke dalam pembuluh darah, yang bisa berbahaya jika tidak ditangani segera.
Keadaan ini bisa menyebabkan septicemia, yang memerlukan penanganan darurat di rumah sakit.
4 Cara Mengatasi Gusi Hitam di Rumah
Beberapa langkah sederhana bisa dilakukan untuk mencegah atau mengurangi gusi hitam secara mandiri.
Berikut adalah beberapa cara yang bisa dicoba di rumah.
πͺ₯ Menjaga Kebersihan Gigi

Sikat gigi secara teratur dengan pasta gigi berkualitas.
Tidak efektif untuk mengatasi gusi hitam akibat pigmentasi.
π Berhenti Merokok

Mengurangi asupan nikotin dapat mencegah pigmentasi lebih lanjut.
Proses ini membutuhkan komitmen kuat dan waktu.
π₯ Konsumsi Makanan Sehat

Nutrisi yang baik membantu menjaga kesehatan gusi.
Tidak memberikan hasil cepat untuk mengubah warna gusi.
π₯ Gunakan Obat Kumur

Pilih obat kumur yang dirancang untuk kesehatan gusi.
Tidak semua obat kumur efektif untuk kasus gusi hitam.
3 Obat untuk Meredakan Gusi Hitam
Jika Kamu sudah ngelakuin semua untuk mengatasi gusi hitam di atas, tapi tak kunjung sembuh juga.

Kalau mau (dan tidak takut efek samping) Kamu bisa coba mengkonsumsi obat kimia, seperti:
1. Scaling dan Polishing Gigi
Prosedur scaling dan polishing dilakukan oleh dokter gigi untuk membersihkan plak, kotoran, dan noda hitam pada gusi yang disebabkan oleh penumpukan plak atau peradangan.
Prosedur ini membutuhkan biaya yang cukup tinggi dan bisa menyebabkan pendarahan pada gusi yang sudah sensitif. Jika dilakukan terlalu sering, dapat mengakibatkan gusi menjadi lebih mudah iritasi dan rawan infeksi.
2. Operasi Gusi
Operasi gusi dilakukan untuk menghilangkan jaringan pigmen hitam atau gusi yang terinfeksi secara langsung.
Prosedur ini bisa sangat efektif untuk mengatasi gusi hitam, terutama pada kasus yang parah.
Operasi ini invasif dan memerlukan waktu pemulihan yang cukup lama.
Ada risiko infeksi pasca-operasi yang bisa menyebabkan pendarahan lebih lanjut, jaringan gusi yang menipis, atau bahkan kerusakan pada jaringan gusi yang sehat jika prosedur tidak dilakukan dengan hati-hati.
3. Pasta Gigi Pemutih Khusus
Pasta gigi yang dirancang untuk mengatasi gusi hitam mengandung bahan pemutih dan senyawa yang dapat mengurangi peradangan pada gusi serta memutihkan noda gelap pada gusi.
Hasil dari pasta gigi pemutih seringkali tidak permanen dan memerlukan penggunaan jangka panjang serta perawatan lanjutan.
Penggunaan berlebihan dapat menyebabkan gusi menjadi lebih sensitif, iritasi, dan meningkatkan risiko kerusakan enamel gigi, yang bisa menyebabkan masalah lebih serius seperti gigi berlubang atau sensitif berlebihan pada gigi.
β οΈ β οΈ β οΈ
hati-hati!!
Mengkonsumsi obat kimia secara berlebihan dapat berdampak negatif bagi tubuh kamu.
Selain itu, tidak menjamin gusi hitam Kamu akan langsung sembuh.
Jika mencari alternatif pengobatan dan produk obat yang aman dan alami, tanpa mengorbankan efektivitas, Kamu bisa mencoba solusi herbal untuk mengobati gusi hitam.
Solusi Herbal untuk Mengobati Gusi Hitam

Gumafixa Satu-Satunya Obat Sakit Gigi Herbal Yang Terdaftar di BPOM
Terbuat dari Oleum Syzigium Aromantiticum Folium (minyak cengkeh) dan Peppermint (daun mint) (tanpa tambahan bahan kimia), Gumafixa sudah teruji klinis oleh Badan POM RI.
Gumafixa sudah dipercaya ampuh mengatasi masalah gigi dan mulut, salah satunya gusi hitam π
Minyak cengkeh dapat membantu mengurangi peradangan pada gusi hitam yang disebabkan oleh infeksi atau penyakit gusi yang merupakan penyebab gusi hitam.
Dengan sifat anti-inflamasi, minyak cengkeh membantu menenangkan jaringan gusi yang bengkak dan meradang.
Sifat antibakteri minyak cengkeh dapat membantu melawan bakteri penyebab infeksi pada gusi.
Ini dapat mencegah penyebaran infeksi lebih lanjut dan membantu mempercepat proses penyembuhan gusi hitam.
Minyak cengkeh dapat merangsang sirkulasi darah di area gusi, yang membantu proses penyembuhan dan pemulihan gusi yang mengalami kerusakan atau peradangan yang sebgai salah satu penyebab gusi hitam.
Karena berbahan herbal 100% Kamu bisa merawat kesehatan mulut di rumah dengan Gumafixa tanpa khawatir akan efek samping.
Keunggulan Obat Sakit Gigi Gumafixa


Obat Sakit Gigi Herbal Terbaik di Indonesia, Terbukti 15X Lebih Efektif

Menyembuhkan Sakit Gigi Dalam 1-2 Menit

Membunuh Bakteri dan Kuman di Sekitar Gigi dan Gusi

100% Herbal Tanpa Campuran Kimia dan Tanpa Efek Samping

Obat Sakit Gigi Herbal Pertama yang RESMI Terdaftar di BPOM

11.746+ orang Sudah Merasakan keampuhan Gumafixa

beberapa testimoni pelanggan yang sudah membuktikan keampuhan Gumafixa
Segera atasi sakit gigi Kamu dan orang terkasihmu dengan Gumafixa.
“Cara pakai Gumafixa gimana ya?“
Cara pakai Gumafixa sangat mudah, Kamu cukup lakukan 3 langkah berikut:
- Teteskan obat sakit gigi Gumafixa di kapas,
- Tempelkan pada gusi yang terinfeksi tahan hingga 2 – 3 menit,
- Lepaskan kapas dan rasakan gusi Kamu sehat lagi.
Dewasa : 3-4 tetes, 3 sampai 4 kali sehari.
Anak usia 2 tahun+ : 1-2 tetes, 2 sampai 3 kali sehari.
“Berapa sih harga Gumafixa??“
Harga Gumafixa cuma 200 ribu lhoo…
Dengan harga 200 ribu:
- Kamu terbebas dari gigi hitam π₯³
- Lambung dan ginjal aman karena 100% non-kimia π
- Makan dan minum lebih nikmat lagi π
- Hidup lebih produktif dan enjoy dalam menjalankan aktivitas sehari-hari π
“Tertarik nih, tapi ada diskon gak ya??“
KHUSUS HARI INI
GUMAFIXA SEDANG DISKON
*Kuota diskon terbatas hanya untuk 10 pembeli pertama!

200 RIBU
175 rb
Diskon akan berakhir dalam:
Dari harga Gumafixa di atas Kamu juga akan mendapatkan benefit:
β
100% Konsultasi Gratis (24/7 365)
β
Gratis Ongkir (Hingga 25.000)
β
Bisa COD (Bayar di Tempat)
β
Pengiriman Cepat (Bisa Instant & Same Day)
β
Jaminan Produk Asli Dengan Harga Termurah
"tapi... Cara Belinya gimana ya??"
Tenang... Kamu gak perlu bingung.
Kamu bisa mengisi form dibawah ini untuk membeli GUMAFIXA, sekaligus konsultasi dan bisa mendapatkan promo spesial lainnya π
Kami siap mengirimkan GUMAFIXA di manapun Kamu berada di seluruh Indonesia dan Kami siap melayani 24 jam non-stop π
Atau, jika Kamu punya aplikasi Shopee, Tiktok, atau Tokopedia, Kamu tinggal tanya ke Customer Service Kami.
Kamu akan diberikan Link Produk dari Toko Official Kami.
Hati-hati sudah banyak barang tiruan GUMAFIXA, jadi pastiin Kamu dapat link langsung dari Customer Service Kami, Ya π

Kamu akan mendapatkan garansi 100% uang kembali jika:
- Produk yang Kami kirim bukan produk asli
- Produk tidak sampai di tangan Kamu
- Produk yang diterima rusak atau tidak sesuai pesanan
Terimakasih telah membaca sampai selesai, semoga dengan Gumafixa permasalahan gusi hitam Kamu terselesaikan π
Disclaimer :
"Hasil setiap orang dapat berbeda-beda tergantung pada kondisi tubuh serta tingkat masalah yang dimiliki. Manfaat yang dirasakan setelah pemakaian produk juga bervariasi. Gunakan informasi produk yang asli di halaman ini sebagai referensi"





