Gusi Bengkak Bagian Belakang: Waspadai Bahayanya untuk Kesehatan Mulut βΌοΈ

DAFTAR ISI
- 5 Gejala Umum dari Gusi Bengkak Bagian Belakang
- Cara Mengenali Gusi Belakang Bengkak di Rumah
- Faktor Risiko dari Gusi Bengkak
- 4 Penyebab Munculnya Gusi Bengkak
- Akibat Jika Gusi Bengkak Tidak Disembuhkan
- 4 Cara Menyembuhkan Gusi Bengkak Bagian Belakang di Rumah
- 3 Obat untuk Meredakan Gusi Bengkak Bagian Belakang
- Solusi Herbal untuk Menyembuhkan Gusi Bengkak
Gusi geraham bengkak bukanlah hal yang bisa dianggap sepele. Kondisi ini sering menjadi tanda adanya masalah kesehatan mulut yang memerlukan perhatian serius.
Jika tidak segera ditangani, pembengkakan gusi dapat berkembang menjadi infeksi yang lebih parah, bahkan memengaruhi kesehatan tubuh secara keseluruhan.
Rasa nyeri yang muncul sering kali mengganggu aktivitas sehari-hari, seperti makan dan berbicara, sehingga menurunkan kualitas hidup.
Selain itu, gusi yang bengkak dapat menjadi pertanda awal dari kondisi yang lebih kompleks, seperti abses gigi atau penyakit periodontal.
Mari kenali gejala, penyebab, dan langkah-langkah untuk mengatasinya sebelum terlambat, agar kesehatan mulut tetap terjaga dan terhindar dari komplikasi yang tidak diinginkan.
5 Gejala Umum dari Gusi Bengkak Bagian Belakang
Gejala gusi bengkak sering kali terasa menyakitkan dan dapat memengaruhi aktivitas harian.
Berikut adalah tanda-tanda yang perlu diperhatikan:
π« Rasa nyeri intens di gusi bagian belakang

Salah satu gejala utama adalah rasa nyeri yang intens di bagian belakang gusi.
Rasa sakit ini bisa meningkat ketika Kamu mengunyah makanan atau bahkan hanya menyentuh area yang bengkak.
Pada beberapa kasus, rasa nyeri bisa menjalar ke pipi atau bahkan ke telinga.
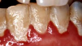
π« Pembengkakan pada gusi di dekat geraham

Bengkak menunjukkan adanya peradangan.
Pembengkakan ini dapat membuat gusi terasa lebih lembut dan lebih mudah berdarah saat ditekan, seperti saat menyikat gigi.
Jika tidak segera ditangani, pembengkakan bisa bertambah parah dan menyebabkan abses yang menyakitkan.
π« Gusi berwarna merah gelap atau keunguan

Gusi yang bengkak dan terinfeksi bisa menghasilkan bau mulut yang tidak sedap.
Bau ini sering kali sulit hilang meskipun sudah menyikat gigi.
π« Sulit menelan atau membuka mulut

Gusi bengkak karena disertai dengan nyeri bisa membuat Kamu merasa kesulitan mengunyah makanan, terutama makanan keras atau kenyal.
Rasa sakit bisa semakin terasa jika makanan menyentuh gusi yang bengkak.
Cara Mengenali Gusi Belakang Bengkak di Rumah
Kamu bisa mencoba beberapa langkah sederhana ini di rumah untuk mengetahui seberapa parah gusi bengkak Kamu.
1. Perhatikan pembengkakan pada gusi belakang
Cek apakah ada benjolan atau pembengkakan di area gusi bagian belakang, terutama di sekitar gigi geraham.
Pembengkakan ini bisa tampak lebih besar, lembek, atau sedikit keunguan.
Perhatikan juga apakah gusi tampak lebih mengeras atau lebih lembek dari biasanya.
2. Periksa apakah ada nanah atau cairan yang keluar
Jika gusi bengkak disertai dengan keluarnya nanah atau cairan kental berwarna putih atau kekuningan, ini menunjukkan adanya infeksi serius.
3. Perhatikan warna gusi dan sekitarnya
Amati warna gusi di sekitar area yang bengkak.
Jika gusi tampak lebih merah terang atau kebiruan daripada biasanya, ini menunjukkan adanya peradangan.
Gusi yang bengkak karena infeksi akan menunjukkan perubahan warna yang jelas sebagai reaksi tubuh terhadap iritasi atau infeksi.
Faktor Risiko dari Gusi Bengkak
Beberapa faktor dapat meningkatkan risiko terjadinya gusi bengkak bagian belakang, termasuk kebersihan mulut yang buruk, infeksi gigi, atau bahkan kebiasaan merokok.
Penyakit gusi seperti gingivitis dan periodontitis juga dapat memperburuk kondisi ini.
Selain itu, kondisi medis seperti diabetes atau kekurangan gizi juga dapat memperburuk kesehatan gusi dan meningkatkan kemungkinan gusi bengkak.
4 Penyebab Munculnya Gusi Bengkak
Kamu udah tau nih gejala umum yang bisa muncul jika terkena gusi bengkak, terutama pada gusi bagian belakang.
Sekarang, Kamu juga perlu tau kenapa hal tersebut bisa muncul:
π΅βπ« Penumpukan plak dan gingivitis

Plak yang menumpuk di gigi akibat kebiasaan menyikat gigi yang tidak teratur dapat menyebabkan peradangan pada gusi (gingivitis).
Peradangan ini sering kali berujung pada pembengkakan, terutama di area belakang gusi.
π¦· Gigi berlubang (karies)

Gigi yang berlubang atau terinfeksi dapat mempengaruhi jaringan gusi di sekitarnya, termasuk gusi bagian belakang.
Pembusukan gigi yang tidak diobati dapat memperburuk kondisi ini.
π₯ Kekurangan nutrisi

Kekurangan vitamin, khususnya vitamin C, dapat menyebabkan gusi bengkak, berdarah, dan terasa lemah.
Kondisi diatas lebih dikenal dengan istilah scurvy.
π Abses Gigi

Infeksi pada akar gigi atau jaringan gusi yang menyebabkan abses bisa menambah tekanan pada gusi belakang, menyebabkan pembengkakan yang sangat nyeri.
Akibat Jika Gusi Bengkak Tidak Disembuhkan
Jika Kamu sudah mengalami gusi belakang bengkak seperti di atas…
…Kamu perlu berhati-hati β
Jika gusi bengkak bagian belakang tidak segera diatasi, bisa menimbulkan berbagai akibat yang lebih serius, seperti:
1. Infeksi menyebar ke gigi dan gusi lainnya
Pembengkakan yang tidak diobati bisa menyebabkan infeksi lebih dalam pada gusi atau gigi, bahkan menyebar ke jaringan di sekitar mulut dan rahangπ
2. Kerusakan pada gigi dan tulang rahang
Infeksi yang berlangsung lama dapat merusak gigi dan tulang rahang, yang bisa menyebabkan kerusakan permanen pada gigi yang terinfeksi.
3. Nyeri yang lebih parah
Jika pembengkakan tidak ditangani, rasa sakit akan terus meningkat, membuat aktivitas sehari-hari seperti makan dan berbicara semakin sulit.
4. Penyebaran infeksi ke bagian tubuh lain
Dalam kasus ekstrem, infeksi bisa menyebar ke bagian tubuh lainnya dan memengaruhi kesehatan tubuh secara keseluruhan.
4 Cara Menghilangkan Bengkak Gusi Belakang di Rumah
Kamu udah tau nih penyebab dari gusi bengkak Kamu itu apa.
Selanjutnya, Kamu juga harus tau bagaimana cara menyembuhkannya.
Ada beberapa cara menghilangkan bengkak di gusi yang bisa Kamu lakukan di rumah, seperti:
π§ Kompres dengan air dingin atau es batu
Kompres dingin pada pipi di area gusi yang bengkak dapat membantu mengurangi pembengkakan dan nyeri.
Gunakan kain bersih yang dibungkus dengan es batu dan kompreskan selama 10-15 menit.
Dalam pengompresan jangan terlalu lama atau terlalu kuat, karena bisa menyebabkan iritasi kulit atau memperburuk rasa sakit.
π« Kumur dengan air garam
Larutan air garam hangat dapat membantu membersihkan area yang terinfeksi dan mengurangi peradangan pada gusi.
Cukup campurkan setengah sendok teh garam dengan segelas air hangat, kemudian kumur selama 30 detik.
Namun, perlu diperhatikan! Jika digunakan terlalu sering atau air garam terlalu pekat, bisa bikin gusi jadi iritasi atau kering.
π‘οΈ Menghindari pemicu nyeri
Selama masa infeksi, hindari makanan dan minuman yang bisa memperburuk rasa sakit, seperti:
π« Makanan atau minuman panas dan dingin
π« Makanan keras atau renyah
π« Makanan manis
Bakteri di mulut akan memanfaatkan kandungan ini untuk memperparah infeksi.
Jika terus-menerus mengonsumsinya, infeksi bisa semakin parah dan penyembuhan semakin lama.
πͺ₯ Jaga kebersihan mulut
Menyikat gigi dengan lembut menggunakan sikat gigi dan pasta gigi antibakteri dapat membantu mengurangi penumpukan plak dan mencegah infeksi lebih lanjut.
3 Obat untuk Meredakan Gusi Bengkak Bagian Belakang
Jika Kamu sudah ngelakuin semua untuk mengatasi gusi bengkak di atas, tapi tak kunjung sembuh juga.

Kalau mau (dan tidak takut efek samping) Kamu bisa coba mengkonsumsi obat untuk gusi bengkak, seperti:
1. Ibuprofen
Obat anti-inflamasi nonsteroid (NSAID) ini bisa membantu Kamu meredakan nyeri sekaligus mengurangi peradangan.
Tapi, Ibuprofen bisa menyebabkan iritasi lambung, sakit perut, mual hingga muntah.
Penggunaan jangka panjang dari Ibuprofen bisa meningkatkan risiko perdarahan lambung atau usus, serta efek negatif pada ginjal.
2. Parasetamol (Acetaminophen)
Obat ini bisa mengurangi nyeri ringan hingga sedang, termasuk dengan gusi bengkak.
Obat ini bisa lebih aman untuk lambung daripada Ibuprofen.
Namun, meski umumnya lebih aman untuk lambung, Parasetamol bisa menyebabkan kerusakan hati jika dikonsumsi dalam dosis tinggi atau jangka panjang.
3. Gel atau salep anti-inflamasi
Beberapa gel atau salep yang mengandung bahan aktif seperti lidocaine atau hydrocortisone dapat dioleskan langsung pada gusi untuk meredakan rasa sakit dan peradangan.
β οΈ β οΈ β οΈ
hati-hati!!
Mengkonsumsi obat kimia secara berlebihan dapat berdampak negatif bagi tubuh Kamu.
Selain itu, tidak menjamin gusi bengkak terutama gusi bagian belakang Kamu akan langsung sembuh.
Jika mencari alternatif pengobatan dan produk obat yang aman dan alami, tanpa mengorbankan efektivitas, Kamu bisa mencoba solusi herbal.
Solusi Herbal untuk Menyembuhkan Gusi Bengkak

Gumafixa Satu-Satunya Obat Sakit Gigi Herbal Yang Terdaftar di BPOM
Terbuat dari Oleum Syzigium Aromantiticum Folium (minyak cengkeh) dan Peppermint (daun mint) (tanpa tambahan bahan kimia), Gumafixa sudah teruji klinis oleh Badan POM RI.
Gumafixa sudah dipercaya ampuh mengatasi masalah gigi dan mulut, salah satunya gusi belakang yang bengkak π
Karena berbahan herbal 100% Kamu bisa merawat kesehatan mulut di rumah dengan Gumafixa tanpa khawatir akan efek samping.
Keunggulan Obat Sakit Gigi Gumafixa


Obat Sakit Gigi Herbal Terbaik di Indonesia, Terbukti 15X Lebih Efektif

Menyembuhkan Sakit Gigi Dalam 1-2 Menit

Membunuh Bakteri dan Kuman di Sekitar Gigi dan Gusi

100% Herbal Tanpa Campuran Kimia dan Tanpa Efek Samping

Obat Sakit Gigi Herbal Pertama yang RESMI Terdaftar di BPOM

11.746+ orang Sudah Merasakan keampuhan Gumafixa

beberapa testimoni pelanggan yang sudah membuktikan keampuhan Gumafixa
Segera atasi sakit gigi Kamu dan orang terkasihmu dengan Gumafixa.
“Cara pakai Gumafixa gimana ya?“
Cara pakai Gumafixa sangat mudah, Kamu cukup lakukan 3 langkah berikut:
- Teteskan obat sakit gigi Gumafixa di kapas,
- Tempelkan pada area belakang gusi, tahan hingga 2 – 3 menit,
- Lepaskan kapas dan rasakan gigi kebebasan dari sakitnya gusi bengkak.
Dewasa : 3-4 tetes, 3 sampai 4 kali sehari.
Anak usia 2 tahun+ : 1-2 tetes, 2 sampai 3 kali sehari.
“Berapa sih harga Gumafixa??“
Harga Gumafixa cuma 200 ribu lhoo…
Dengan harga 200 ribu:
- Kamu terbebas dari gusi bengkak bagian belakang π₯³
- Lambung dan ginjal aman karena 100% non-kimia π
- Makan dan minum lebih nikmat lagi π
- Hidup lebih produktif dan enjoy dalam menjalankan aktivitas sehari-hari π
“Tertarik nih, tapi ada diskon gak ya??“
KHUSUS HARI INI
GUMAFIXA SEDANG DISKON
*Kuota diskon terbatas hanya untuk 10 pembeli pertama!

200 RIBU
175 rb
Diskon akan berakhir dalam:
Dari harga Gumafixa di atas Kamu juga akan mendapatkan benefit:
β
100% Konsultasi Gratis (24/7 365)
β
Gratis Ongkir (Hingga 25.000)
β
Bisa COD (Bayar di Tempat)
β
Pengiriman Cepat (Bisa Instant & Same Day)
β
Jaminan Produk Asli Dengan Harga Termurah
"tapi... Cara Belinya gimana ya??"
Tenang... Kamu gak perlu bingung.
Kamu bisa mengisi form dibawah ini untuk membeli GUMAFIXA, sekaligus konsultasi dan bisa mendapatkan promo spesial lainnya π
Kami siap mengirimkan GUMAFIXA di manapun Kamu berada di seluruh Indonesia dan Kami siap melayani 24 jam non-stop π
Atau, jika Kamu punya aplikasi Shopee, Tiktok, atau Tokopedia, Kamu tinggal tanya ke Customer Service Kami.
Kamu akan diberikan Link Produk dari Toko Official Kami.
Hati-hati sudah banyak barang tiruan GUMAFIXA, jadi pastiin Kamu dapat link langsung dari Customer Service Kami, Ya π

Kamu akan mendapatkan garansi 100% uang kembali jika:
- Produk yang Kami kirim bukan produk asli
- Produk tidak sampai di tangan Kamu
- Produk yang diterima rusak atau tidak sesuai pesanan
Terimakasih telah membaca sampai selesai, semoga dengan Gumafixa permasalahan Kamu terselesaikan π
Disclaimer :
"Hasil setiap orang dapat berbeda-beda tergantung pada kondisi tubuh serta tingkat masalah yang dimiliki. Manfaat yang dirasakan setelah pemakaian produk juga bervariasi. Gunakan informasi produk yang asli di halaman ini sebagai referensi"





