Anak Rewel Karena Nyeri Gigi Susu?
Ini yang Harus Kamu Lakuin

DAFTAR ISI
- Apa Itu Gigi Susu?
- 4 Gejala Umum dari Nyeri Gigi Susu
- Cara Mengenali Nyeri Gigi Susu Pada Anak di Rumah
- 4 Penyebab Munculnya Nyeri pada Gigi Susu
- Akibat Jika Nyeri Gigi Susu Dibiarkan.
- 4 Cara Menyembuhkan Nyeri Gigi Susu di Rumah
- 3 Obat untuk Meredakan Nyeri Gigi Susu
- Solusi Herbal untuk Menyembuhkan Nyeri Gigi Susu
Apa Itu Gigi Susu?

Gigi susu adalah gigi pertama yang tumbuh pada anak-anak, yang biasanya mulai muncul sekitar usia 6 bulan.
Nyeri gigi susu adalah masalah yang sering dialami anak-anak yang disebabkan oleh berbagai faktor, termasuk gigi berlubang atau infeksi.
Gigi susu sangat penting untuk perkembangan gigi permanen dan kesehatan mulut anak, jadi penting untuk mengetahui cara merawatnya dan mengatasi nyeri jika terjadi.
4 Gejala Umum dari Nyeri Gigi Susu
Nyeri pada gigi susu dapat menimbulkan gejala yang beragam, dari rasa sakit yang mengganggu hingga perubahan perilaku pada anak.
Gejala-gejala di bawah harus segera ditangani agar masalah tidak membesar.
🙀 Rasa sakit atau sensitivitas pada gigi

Anak bisa merasa sakit saat makan makanan yang keras, panas, atau dingin.
Ini sering kali disebabkan oleh gigi berlubang atau kerusakan pada gigi susu yang baru tumbuh.
😫 Pembengkakan atau merah pada gusi sekitar gigi susu

Gusi di sekitar gigi yang bermasalah bisa terlihat bengkak, merah, atau bahkan bernanah.
Ini adalah tanda bahwa ada peradangan atau infeksi pada gusi.
🫢 Menolak makan atau minum

Ketika gigi susu bermasalah, anak akan menolak untuk makan, terutama yang mengandung tekstur keras atau dingin.
Nyeri yang mereka rasakan membuat mereka tidak nyaman saat mengunyah atau menelan.
😖 Perubahan perilaku

Anak yang mengalami nyeri gigi susu sering kali lebih rewel dan tidak nyaman, bahkan bisa lebih sering menangis karena rasa sakit yang tak tertahankan.
Hal ini bisa menyebabkan mereka susah tidur atau makan.
Cara Mengenali Nyeri Gigi Susu Pada Anak di Rumah
Untuk mengetahui apakah anak mengalami nyeri gigi susu, orang tua bisa memeriksa beberapa tanda fisik berikut dan memperhatikan perilaku anak.
1. Periksa kondisi gusi dan gigi
Cobalah untuk memeriksa dengan lembut area gusi dan gigi anak.
Jika gusi terlihat bengkak, merah, atau ada bercak putih atau nanah, itu bisa menjadi tanda infeksi pada gigi susu yang menyebabkan nyeri.
2. Tanya anak tentang rasa sakit
Jika anak sudah cukup besar untuk berbicara, tanya dengan lembut apakah ada bagian tertentu yang terasa sakit atau sensitif.
Perhatikan apakah mereka menghindari makanan tertentu, seperti yang dingin atau keras, karena bisa menjadi tanda bahwa gigi mereka sakit.
3. Amati perubahan pola tidur anak
Anak yang mengalami nyeri gigi susu sering kali kesulitan tidur atau terbangun karena rasa sakit.
Jika anak terbangun di malam hari atau gelisah saat tidur, ini bisa menjadi tanda bahwa mereka merasa sakit di gigi susu.
5 Penyebab Munculnya Nyeri pada Gigi Susu
Nyeri pada gigi susu dapat disebabkan oleh berbagai faktor yang mempengaruhi kesehatan gigi dan gusi anak.
Mengetahui penyebabnya sangat penting bisa memberikan perawatan yang tepat dan menghindari masalah yang lebih besar.
🦠 Infeksi pada gusi atau abses gigi

Jika gusi di sekitar gigi susu meradang atau terinfeksi, hal ini dapat menyebabkan nyeri hebat.
Abses gigi terjadi ketika infeksi menyebar dan mengumpulkan nanah di sekitar akar gigi.
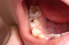
🦷 Gigi berlubang atau kerusakan gigi

Gigi susu yang berlubang adalah salah satu penyebab utama nyeri.
Lubang pada gigi susu bisa terjadi akibat penumpukan plak atau sisa makanan yang tidak dibersihkan dengan baik.
Hal tersebut menyebabkan infeksi atau kerusakan pada gigi.
🫢 Kebersihan mulut yang kurang

Kebersihan mulut yang buruk dapat menyebabkan penumpukan plak dan bakteri pada gigi susu.
Anak-anak yang jarang menyikat gigi atau yang terbiasa mengonsumsi makanan manis tanpa dibersihkan dengan baik lebih rentan mengalami masalah ini.
😬 Kebiasaan menggigit benda keras

Beberapa anak memiliki kebiasaan menggigit benda keras, seperti pensil atau mainan, yang dapat menyebabkan kerusakan pada gigi susu.
Kebiasaan ini bisa membuat gigi susu retak atau terkelupas, menyebabkan rasa sakit yang cukup mengganggu.
Akibat Jika Nyeri Gigi Susu Dibiarkan
Membiarkan nyeri gigi susu tanpa perawatan yang tepat dapat berdampak buruk bagi kesehatan gigi anak.
Meskipun gigi susu akan digantikan oleh gigi permanen, kondisi ini tetap penting untuk diperhatikan karena bisa mempengaruhi perkembangan gigi permanen yang akan datang, seperti:
1. Perkembangan gigi permanen terhambat
Jika nyeri gigi susu disebabkan oleh infeksi atau kerusakan yang tidak segera diobati, hal ini dapat mempengaruhi kesehatan gigi permanen yang berada di bawahnya.
Infeksi atau kerusakan pada gigi susu bisa memengaruhi pertumbuhan gigi permanen, membuatnya tumbuh dengan kondisi yang kurang baik.
2. Infeksi yang meluas
Infeksi pada gigi susu, jika dibiarkan, bisa menyebar ke bagian tubuh lainnya.
Bakteri yang berasal dari gigi yang terinfeksi bisa masuk ke aliran darah dan menyebar ke organ vital seperti jantung, ginjal, atau tulang.
3. Kerusakan pada gusi
Nyeri yang dibiarkan tanpa penanganan dapat menyebabkan gusi anak menjadi semakin meradang.
Selain itu, kerusakan pada jaringan gusi bisa memperburuk kondisi gigi susu yang sudah rusak, memperburuk rasa sakit dan memperbesar potensi infeksi.
4. Masalah pada proses tumbuh gigi
Gigi susu yang sakit atau rusak bisa menyebabkan anak kesulitan dalam mengunyah makanan dengan baik.
Ini bisa mengganggu pola makan mereka, mengarah pada kekurangan gizi, serta memengaruhi tumbuh kembang fisik anak.
4 Cara Menyembuhkan Nyeri Gigi Susu di Rumah
Ada beberapa cara yang bisa dilakukan di rumah untuk meredakan nyeri gigi susu pada anak.
Cara-cara ini dapat membantu mengurangi rasa sakit sementara hingga mendapatkan perawatan medis yang lebih tepat.
🧊 Kompres dengan air dingin atau es batu
Mengompres area pipi di dekat gigi yang sakit dengan es bisa membantu mengurangi peradangan dan memberikan rasa nyaman.
Es dapat mengurangi rasa sakit dengan menenangkan saraf yang teriritasi.
Tempelkan kompres es pada area yang sakit selama 10 – 15 menit, dan ulangi beberapa kali sehari 🥰
Dalam pengompresan jangan terlalu lama atau terlalu kuat, karena bisa menyebabkan iritasi kulit atau memperburuk rasa sakit.
🫗 Berkumur dengan air garam hangat
Air garam memiliki sifat antiseptik yang dapat membantu mengurangi infeksi ringan.
Caranya mudah, cukup larutkan satu sendok teh garam dalam segelas air hangat, lalu berkumur selama beberapa menit. Ulangi beberapa kali sehari.
Namun, perlu diperhatikan! Jika digunakan terlalu sering atau air garam terlalu pekat, bisa bikin gusi jadi iritasi atau kering.
🛡️ Menghindari pemicu nyeri
Selama masa infeksi, hindari makanan dan minuman yang bisa memperburuk rasa sakit, seperti:
🚫 Makanan atau minuman panas dan dingin
🚫 Makanan keras atau renyah
🚫 Makanan manis
Sebaiknya berikan makanan yang lebih lembut dan pada suhu yang tidak terlalu panas atau dingin.
🥰 Pijat lembut di sekitar gusi
Menggunakan jari bersih atau kain lembut untuk memijat lembut gusi yang sakit dapat memberikan kenyamanan sementara.
Pijatan ini dapat membantu meredakan ketegangan di area gusi dan memberikan sedikit bantuan pada anak yang merasa sangat tidak nyaman.
3 Obat untuk Meredakan Nyeri Gigi Susu
Jika nyeri gigi susu anak tidak dapat diatasi dengan cara alami atau rumah, ada berbagai jenis obat yang dapat membantu meredakan rasa sakit.
Penggunaan obat harus disesuaikan dengan usia anak dan selalu mengikuti petunjuk untuk menghindari efek samping atau komplikasi.

Kalau mau (dan tidak takut efek samping) Kamu bisa coba memberikan obat kimia, seperti:
1. Ibuprofen
Obat anti-inflamasi nonsteroid (NSAID) ini bisa membantu meredakan nyeri sekaligus mengurangi peradangan.
Tapi, Ibuprofen bisa menyebabkan iritasi lambung, sakit perut, mual hingga muntah.
2. Parasetamol (Acetaminophen)
Obat ini bisa mengurangi nyeri ringan hingga sedang, termasuk dengan nyeri.
Obat ini bisa lebih aman untuk lambung daripada Ibuprofen.
Namun, meski umumnya lebih aman untuk lambung, Parasetamol bisa menyebabkan kerusakan hati jika dikonsumsi dalam dosis tinggi atau jangka panjang.
3. Obat pereda nyeri khusus gigi anak
Ada juga obat nyeri khusus yang diformulasikan untuk anak-anak yang memiliki rasa yang lebih enak dan dosis yang lebih ringan.
Obat-obat ini sering tersedia dalam bentuk sirup atau tablet kunyah dan lebih mudah diterima oleh anak-anak yang tidak bisa menelan pil.
Pastikan obat ini memiliki label yang jelas dan sesuai dengan usia anak Anda.
⚠️ ⚠️ ⚠️
hati-hati!!
Penting untuk selalu berkonsultasi terlebih dahulu sebelum memberikan obat apa pun, terutama untuk anak-anak, agar bisa memastikan obat yang digunakan aman dan sesuai dengan kondisi anak
Jika mencari alternatif pengobatan dan produk obat yang aman dan alami untuk anak-anak, Kamu bisa mencoba solusi herbal ini.
Solusi Herbal untuk Menyembuhkan Nyeri Gigi Susu

Gumafixa Satu-Satunya Obat Sakit Gigi Herbal Yang Terdaftar di BPOM
Terbuat dari Oleum Syzigium Aromantiticum Folium (minyak cengkeh) dan Peppermint (daun mint) (tanpa tambahan bahan kimia), Gumafixa sudah teruji klinis oleh Badan POM RI.
Gumafixa sudah dipercaya ampuh mengatasi masalah gigi dan mulut, salah satunya nyeri pada gigi susu 😉
Karena berbahan herbal 100% Kamu bisa merawat kesehatan mulut di rumah dengan Gumafixa tanpa khawatir akan efek samping pada anak-anak.
Keunggulan Obat Sakit Gigi Gumafixa


Obat Sakit Gigi Herbal Terbaik di Indonesia, Terbukti 15X Lebih Efektif

Menyembuhkan Sakit Gigi Dalam 1-2 Menit

Membunuh Bakteri dan Kuman di Sekitar Gigi dan Gusi

100% Herbal Tanpa Campuran Kimia dan Tanpa Efek Samping

Obat Sakit Gigi Herbal Pertama yang RESMI Terdaftar di BPOM

11.746+ orang Sudah Merasakan keampuhan Gumafixa

beberapa testimoni pelanggan yang sudah membuktikan keampuhan Gumafixa
Segera atasi sakit gigi Kamu dan orang terkasihmu dengan Gumafixa.
“Cara pakai Gumafixa gimana ya?“
Cara pakai Gumafixa sangat mudah, Kamu cukup lakukan 3 langkah berikut:
- Teteskan obat sakit gigi Gumafixa di kapas,
- Tempelkan pada area yang nyeri, tahan hingga 2 – 3 menit,
- Lepaskan kapas dan rasakan gigi kebebasan dari sakitnya nyeri.
Dewasa : 3-4 tetes, 3 sampai 4 kali sehari.
Anak usia 2 tahun+ : 1-2 tetes, 2 sampai 3 kali sehari.
“Berapa sih harga Gumafixa??“
Harga Gumafixa cuma 200 ribu lhoo…
Dengan harga 200 ribu:
- Anak Kamu terbebas dari nyeri karena tumbuh gigi susu 🥳
- Kamu gak perlu pusing lagi karena anak udah gak rewel 😁
- Kesehatan anak lebih aman karena 100% non-kimia 💊
- Makan dan minum lebih nikmat lagi 😋
- Hidup lebih produktif dan enjoy dalam menjalankan aktivitas sehari-hari 💃
“Tertarik nih, tapi ada diskon gak ya??“
KHUSUS HARI INI
GUMAFIXA SEDANG DISKON
*Kuota diskon terbatas hanya untuk 10 pembeli pertama!

200 RIBU
175 rb
Diskon akan berakhir dalam:
Dari harga Gumafixa di atas Kamu juga akan mendapatkan benefit:
✅ 100% Konsultasi Gratis (24/7 365)
✅ Gratis Ongkir (Hingga 25.000)
✅ Bisa COD (Bayar di Tempat)
✅ Pengiriman Cepat (Bisa Instant & Same Day)
✅ Jaminan Produk Asli Dengan Harga Termurah
"tapi... Cara Belinya gimana ya??"
Tenang... Kamu gak perlu bingung.
Kamu bisa mengisi form dibawah ini untuk membeli GUMAFIXA, sekaligus konsultasi dan bisa mendapatkan promo spesial lainnya 😍
Kami siap mengirimkan GUMAFIXA di manapun Kamu berada di seluruh Indonesia dan Kami siap melayani 24 jam non-stop 😉
Atau, jika Kamu punya aplikasi Shopee, Tiktok, atau Tokopedia, Kamu tinggal tanya ke Customer Service Kami.
Kamu akan diberikan Link Produk dari Toko Official Kami.
Hati-hati sudah banyak barang tiruan GUMAFIXA, jadi pastiin Kamu dapat link langsung dari Customer Service Kami, Ya 😊

Kamu akan mendapatkan garansi 100% uang kembali jika:
- Produk yang Kami kirim bukan produk asli
- Produk tidak sampai di tangan Kamu
- Produk yang diterima rusak atau tidak sesuai pesanan
Terimakasih telah membaca sampai selesai, semoga dengan Gumafixa permasalahan Anak Kamu terselesaikan 🙏
Disclaimer :
"Hasil setiap orang dapat berbeda-beda tergantung pada kondisi tubuh serta tingkat masalah yang dimiliki. Manfaat yang dirasakan setelah pemakaian produk juga bervariasi. Gunakan informasi produk yang asli di halaman ini sebagai referensi"





