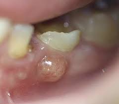
Gigi Berlubang Berdarah??
❗ BAHAYA ❗
Jangan Anggap Remeh! Bisa Jadi Masalah Serius

DAFTAR ISI
- 4 Gejala yang Sering Timbul dari Gigi Berlubang Berdarah
- Cara Mengenali Gigi Berlubang Berdarah di Rumah
- Faktor Risiko dari Gigi Berlubang Berdarah
- 4 Penyebab Gigi Berlubang Berdarah
- Akibat Jika Gigi Berlubang Berdarah Tidak Disembuhkan
- 4 Cara Menyembuhkan Gigi Berlubang Berdarah di Rumah
- 3 Obat untuk Meredakan Gigi Berlubang Berdarah
- Solusi Herbal untuk Menyembuhkan Gigi Berlubang Berdarah
Gigi berlubang yang berdarah adalah kondisi yang sering diabaikan, tetapi ini bisa menjadi tanda infeksi serius pada mulut.
Jika tidak ditangani dengan baik, masalah ini dapat menyebabkan komplikasi berbahaya.
Pelajari gejala, penyebab, dan cara mengatasinya di sini.
4 Gejala yang Sering Timbul dari Gigi Berlubang Berdarah
Ada beberapa gejala yang timbul dari masalah ini, seperti:
🙀 Nyeri saat makan makanan tertentu

Gigi terasa sakit dan sering berdarah ketika menggigit makanan keras atau bersuhu ekstrem, karena saraf gigi yang terekspos melalui lubang.
Sensasi ini bisa bertambah parah jika tidak segera diatasi
😵💫 Pembengkakan di sekitar gusi

Gusi di dekat gigi berlubang sering kali membengkak dan terasa nyeri.
Ini merupakan tanda peradangan yang mungkin berkembang menjadi infeksi.
🤢 Bau atau rasa tidak sedap di mulut

Darah yang tertahan di lubang gigi sering menjadi tempat berkembang biaknya bakteri, menyebabkan bau tak sedap yang sulit hilang meskipun sudah menyikat gigi.
😫 Nanah di sekitar gigi yang berlubang

Jika darah disertai nanah keluar dari gigi, ini menunjukkan abses yang memerlukan perhatian segera agar tidak menyebar lebih jauh.
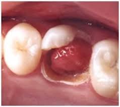
Cara Mengenali Gigi Berlubang Berdarah di Rumah
Kamu bisa mencoba beberapa langkah sederhana ini di rumah untuk mengetahui seberapa parah gigi berlubang Kamu sampai bisa berdarah.
1. Bekas darah di sikat gigi
Perhatikan sikat gigi setelah digunakan. Jika ada bercak darah meski menyikat dengan lembut, ini bisa menjadi tanda awal masalah.
2. Cek kondisi gigi
Dengan bantuan cermin, periksa apakah terdapat lubang hitam pada gigi yang berdarah atau perubahan warna di sekitarnya. Ini sering kali mudah terlihat.
3. Nyeri yang berulang
Jika rasa sakit sering muncul di lokasi yang sama, terutama saat mengunyah atau menyikat, ini menunjukkan kerusakan gigi yang signifikan.
Faktor Risiko dari Gigi Berlubang Berdarah
Gigi berlubang berdarah sering terjadi akibat kebiasaan sehari-hari yang tidak mendukung kesehatan mulut.
Misalnya, jarang membersihkan gigi secara menyeluruh memicu penumpukan bakteri yang merusak enamel.
Selain itu, konsumsi makanan manis dalam jumlah berlebihan dapat mempercepat kerusakan gigi karena asam yang dihasilkan dari gula.
Kebiasaan lain seperti merokok atau kurangnya asupan nutrisi juga membuat gigi lebih rentan terhadap masalah ini.
4 Penyebab Terjadinya Gigi Berlubang Berdarah
Kamu udah tau nih gejala umum nya ada apa saja.
Sekarang, Kamu juga perlu tau kenapa gigi berlubang itu bisa berdarah dan muncul bahkan bisa sampai berbahaya:
🦠 Infeksi gigi berlubang yang menyebar ke gusi

Lubang gigi yang terinfeksi oleh bakteri dapat menyebabkan peradangan pada jaringan sekitar gigi.
Bakteri tersebut mengeluarkan asam yang merusak enamel gigi dan menginfeksi pulpa, sehingga memicu perdarahan.
🦷 Karies mendalam

Lubang yang mencapai lapisan pulpa gigi sering menyebabkan pendarahan karena jaringan dalam gigi sudah rusak.
Kerusakan pada pulpa gigi ini juga membuatnya lebih rentan terhadap infeksi dan radang, yang bisa memicu keluarnya darah.
🫢 Gusi infeksi

Peradangan atau infeksi pada gusi di sekitar gigi berlubang dapat memicu keluarnya darah.
Infeksi ini seringkali terkait dengan penumpukan plak atau sisa makanan yang tidak bersih di area tersebut.
😖 Kekurangan nutrisi

Kekurangan vitamin penting seperti C dan D melemahkan jaringan gusi dan membuat gigi lebih mudah rusak.
Kekurangan ini juga membuat gusi lebih rentan terhadap peradangan dan berdarah ketika terkena gesekan atau iritasi.
😫 Sikat gigi kasar

Penggunaan sikat dengan bulu yang terlalu keras atau cara menyikat yang terlalu kuat dapat melukai gusi.
Luka ini bisa memicu perdarahan, terutama jika gusi sudah lemah atau mengalami iritasi akibat karies
Akibat Jika Gigi Berlubang Berdarah Tidak Disembuhkan
Jika Kamu sudah mengalami gigi berlubang berdarah seperti di atas…
…Kamu perlu berhati-hati ❗
Apabila tidak segera diatasi atau dibiarkan saja, bisa memicu masalah yang lebih serius, seperti:
1. Infeksi menyebar
Bakteri dari gigi yang berlubang dapat menyebar ke jaringan lain di mulut, bahkan hingga ke aliran darah 🙀
2. Kerusakan permanen
Jika tidak ditangani, gigi yang rusak mungkin kehilangan fungsinya sepenuhnya dan akhirnya harus dicabut 😖
3. Sulit makan
Nyeri, pendarahan, dan sensitivitas membuat proses mengunyah menjadi sangat tidak nyaman 😣
4. Munculnya abses gigi
Infeksi yang dibiarkan bisa menyebabkan pembentukan kantong nanah, memicu nyeri hebat dan risiko komplikasi lebih besar 😨
4 Cara Menyembuhkan Gigi Berlubang Berdarah di Rumah
Kamu udah tau nih penyebab kenapa gigi berlubang Kamu bisa berdarah.
Selanjutnya, Kamu juga harus tau bagaimana cara mengatasi nya.
Ada beberapa cara yang bisa bantu Kamu dalam menangani masalah ini:
🧊 Kompres dengan air dingin atau es batu
Kompres dingin pada pipi yang bengkak dapat membantu mengurangi pembengkakan dan meredakan rasa sakit.
Tempelkan kompres es pada area yang sakit selama 10 – 15 menit, dan ulangi beberapa kali sehari 🥰
Dalam pengompresan jangan terlalu lama atau terlalu kuat, karena bisa menyebabkan iritasi kulit atau memperburuk rasa sakit.
🫗 Berkumur dengan air garam hangat
Air garam memiliki sifat antiseptik yang dapat membantu mengurangi infeksi ringan.
Caranya mudah, cukup larutkan satu sendok teh garam dalam segelas air hangat, lalu berkumur selama beberapa menit. Ulangi beberapa kali sehari.
Namun, perlu diperhatikan! Jika digunakan terlalu sering atau air garam terlalu pekat, bisa bikin gusi jadi iritasi atau kering.
🛡️ Menghindari pemicunya
Selama masa infeksi, hindari makanan dan minuman yang bisa memperburuk rasa sakit, seperti:
🚫 Makanan atau minuman panas dan dingin
🚫 Makanan keras atau renyah
🚫 Makanan manis
Bakteri di mulut akan memanfaatkan kandungan ini untuk memperparah infeksi.
Jika terus-menerus mengonsumsinya, infeksi bisa semakin parah dan penyembuhan semakin lama.
🪥 Menyikat gigi dengan sikat yang lembut
Pilih sikat berbulu lembut dan lakukan gerakan menyikat yang perlahan agar tidak memperparah luka.
3 Obat untuk Meredakan Gigi Berlubang Berdarah
Jika Kamu sudah ngelakuin semua untuk mengatasi gigi berlubang yang berdarah seperti di atas, tapi tak kunjung sembuh juga.

Kalau mau (dan tidak takut efek samping) Kamu bisa coba mengkonsumsi obat kimia, seperti:
1. Ibuprofen
Obat anti-inflamasi nonsteroid (NSAID) ini bisa membantu Kamu meredakan nyeri sekaligus mengurangi peradangan.
Tapi, Ibuprofen bisa menyebabkan iritasi lambung, sakit perut, mual hingga muntah.
Penggunaan jangka panjang dari Ibuprofen bisa meningkatkan risiko perdarahan lambung atau usus, serta efek negatif pada ginjal.
2. Parasetamol (Acetaminophen)
Obat ini bisa mengurangi nyeri ringan hingga sedang, termasuk dengan gigi berlubang.
Obat ini bisa lebih aman untuk lambung daripada Ibuprofen.
Namun, meski umumnya lebih aman untuk lambung, Parasetamol bisa menyebabkan kerusakan hati jika dikonsumsi dalam dosis tinggi atau jangka panjang.
3. Antibiotik
Antibiotik bisa digunakan untuk mengatasi infeksi bakteri pada gigi berlubang yang berdarah.
Antibiotik membantu membunuh atau menghentikan pertumbuhan bakteri penyebab infeksi.
Namun, penggunaan antibiotik dalam waktu yang lama atau tidak sesuai dosis bisa menyebabkan resistensi bakteri, mengurangi efektivitas pengobatan di masa depan.
Efek samping seperti gangguan pencernaan, mual, atau diare juga bisa terjadi
⚠️ ⚠️ ⚠️
hati-hati!!
Mengkonsumsi obat kimia secara berlebihan dapat berdampak negatif bagi tubuh Kamu.
Selain itu, tidak menjamin masalah Kamu akan langsung terselesaikan.
Jika mencari alternatif pengobatan dan produk obat yang aman dan alami, tanpa mengorbankan efektivitas, Kamu bisa mencoba solusi herbal.
Solusi Herbal untuk Menyembuhkan Gigi berlubang Berdarah

Gumafixa Satu-Satunya Obat Sakit Gigi Herbal Yang Terdaftar di BPOM
Terbuat dari Oleum Syzigium Aromantiticum Folium (minyak cengkeh) dan Peppermint (daun mint) (tanpa tambahan bahan kimia), Gumafixa sudah teruji klinis oleh Badan POM RI.
Gumafixa sudah dipercaya ampuh mengatasi masalah gigi dan mulut, salah satunya gigi berlubang berdarah 😉
Karena berbahan herbal 100% Kamu bisa merawat kesehatan mulut di rumah dengan Gumafixa tanpa khawatir akan efek samping.
Keunggulan Obat Sakit Gigi Gumafixa


Obat Sakit Gigi Herbal Terbaik di Indonesia, Terbukti 15X Lebih Efektif

Menyembuhkan Sakit Gigi Dalam 1-2 Menit

Membunuh Bakteri dan Kuman di Sekitar Gigi dan Gusi

100% Herbal Tanpa Campuran Kimia dan Tanpa Efek Samping

Obat Sakit Gigi Herbal Pertama yang RESMI Terdaftar di BPOM

11.746+ orang Sudah Merasakan keampuhan Gumafixa

beberapa testimoni pelanggan yang sudah membuktikan keampuhan Gumafixa
Segera atasi sakit gigi Kamu dan orang terkasihmu dengan Gumafixa.
“Cara pakai Gumafixa gimana ya?“
Cara pakai Gumafixa sangat mudah, Kamu cukup lakukan 3 langkah berikut:
- Teteskan obat sakit gigi Gumafixa di kapas,
- Tempelkan pada area gigi yang berlubang, tahan hingga 2 – 3 menit,
- Lepaskan kapas dan rasakan gigi kebebasan dari sakitnya gigi berlubang.
Dewasa : 3-4 tetes, 3 sampai 4 kali sehari.
Anak usia 2 tahun+ : 1-2 tetes, 2 sampai 3 kali sehari.
“Berapa sih harga Gumafixa??“
Harga Gumafixa cuma 200 ribu lhoo…
Dengan harga 200 ribu:
- Kamu terbebas dari gigi berlubang yang berdarah 🥳
- Lambung dan ginjal aman karena 100% non-kimia 💊
- Makan dan minum lebih nikmat lagi 😋
- Hidup lebih produktif dan enjoy dalam menjalankan aktivitas sehari-hari 💃
“Tertarik nih, tapi ada diskon gak ya??“
KHUSUS HARI INI
GUMAFIXA SEDANG DISKON
*Kuota diskon terbatas hanya untuk 10 pembeli pertama!

200 RIBU
175 rb
Diskon akan berakhir dalam:
Dari harga Gumafixa di atas Kamu juga akan mendapatkan benefit:
✅ 100% Konsultasi Gratis (24/7 365)
✅ Gratis Ongkir (Hingga 25.000)
✅ Bisa COD (Bayar di Tempat)
✅ Pengiriman Cepat (Bisa Instant & Same Day)
✅ Jaminan Produk Asli Dengan Harga Termurah
"tapi... Cara Belinya gimana ya??"
Tenang... Kamu gak perlu bingung.
Kamu bisa beli Gumafixa di Toko Resmi Kami di Tiktok Shop 😍
Dapatkan Diskon Spesial, Gratis Ongkir, hingga Cashback. 😍
Kami siap mengirimkan GUMAFIXA di manapun Kamu berada di seluruh Indonesia dan Kami siap melayani 24 jam non-stop 😉

Kamu akan mendapatkan garansi 100% uang kembali jika:
- Produk yang Kami kirim bukan produk asli
- Produk tidak sampai di tangan Kamu
- Produk yang diterima rusak atau tidak sesuai pesanan
Terimakasih telah membaca sampai selesai, semoga dengan Gumafixa permasalahan gigi berlubang Kamu terselesaikan 🙏
Disclaimer :
"Hasil setiap orang dapat berbeda-beda tergantung pada kondisi tubuh serta tingkat masalah yang dimiliki. Manfaat yang dirasakan setelah pemakaian produk juga bervariasi. Gunakan informasi produk yang asli di halaman ini sebagai referensi"




