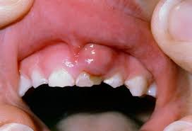
Kamu Punya Abses Gusi dan Dibiarin Aja??
JANGAN!!
Abses Gusi Itu Terjadi Karena Infeksi Bakteri
Cepat Sembuhin Sebelum Infeksinya Menyabar 😱

“Infeksi bakteri pada Abses Gusi dapat menyebar melalui darah hingga ke tulang rahang, otak, katup jantung, atau paru-paru.” — William C. Lloyd III, MD, FACS (2021)

Seperti yang disampaikan Dr. William C. Lloyd III, MD, FACS diatas. Jangan sampai Abses Gusi Kamu dibiarkan saja
Jangan sampe juga Kamu mengalami seperti diberita ini!


Cepat sembuhin sebelum muncul masalah yang lebih serius 😱
Solusi Herbal untuk Menyembuhkan Abses Gusi

GUMAFIXA terbuat dari Oleum Syzigium Aromantiticum Folium (minyak cengkeh) dan Peppermint (daun mint) (tanpa tambahan bahan kimia).
Gumafixa sudah teruji klinis oleh Badan POM RI, tidak ada efek samping dan yang terpenting tidak membuat ketergantungan.
Berbeda dengan obat kimia yang di pasaran, yang bikin ketergantungan dan memberikan efek samping 😵

11.746+ orang Sudah Merasakan keampuhan Gumafixa

beberapa testimoni pelanggan yang sudah membuktikan keampuhan Gumafixa
“Cara pakai Gumafixa gimana ya?“
Cara pakai Gumafixa sangat mudah, Kamu cukup lakukan langkah berikut:

Bersihkan tangan terlebih dahulu

Teteskan Gumafixa di cotton bud atau kapas

Tempelkan pada area yang sakit, tahan hingga 2 – 3 menit

Lepaskan cotton bud atau kapas dan rasakan kebebasan dari abses gusi
Gunakan Gumafixa 3 – 4 kali dalam sehari untuk hasil yang lebih optimal 🥰
“Berapa sih harga Gumafixa??“
Harga Gumafixa cuma 280 ribu lhoo…
Dengan harga 280 ribu:
- Kamu terbebas dari Abses Gusi 🥳
- Lambung dan ginjal aman karena 100% non-kimia 💊
- Makan dan minum lebih nikmat lagi 😋
- Hidup lebih produktif dan enjoy dalam menjalankan aktivitas sehari-hari 💃
“Tertarik nih, tapi ada diskon gak ya??“
KHUSUS HARI INI
GUMAFIXA SEDANG DISKON
*Kuota diskon terbatas hanya untuk 10 pembeli pertama!

280 RIBU
210 rb
Diskon akan berakhir dalam:
Dari harga Gumafixa di atas Kamu juga akan mendapatkan benefit:
✅ 100% Konsultasi Gratis (24/7 365)
✅ Gratis Ongkir seluruh Indonesia (untuk pembayaran Transfer)
✅ Bisa COD (Bayar di Tempat)
✅ Pengiriman Cepat (Bisa Instant & Same Day)
✅ Jaminan Produk Asli Dengan Harga Termurah
"tapi... Cara Belinya gimana ya??"
Kamu bisa mengisi form dibawah ini untuk konsultasi sekaligus mendapatkan diskon special lainnya 🥰
Kami siap mengirimkan Gumafixa di manapun Kamu berada di seluruh Indonesia dan Customer Service Kami siap melayani 24 jam non-stop.

Kamu akan mendapatkan garansi 100% uang kembali jika:
- Produk yang Kami kirim bukan produk asli
- Produk tidak sampai di tangan Kamu
- Produk yang diterima rusak atau tidak sesuai pesanan
Terimakasih telah membaca sampai selesai, semoga dengan Gumafixa permasalahan Kamu terselesaikan 🙏
Disclaimer :
"Hasil setiap orang dapat berbeda-beda tergantung pada kondisi tubuh serta tingkat masalah yang dimiliki. Manfaat yang dirasakan setelah pemakaian produk juga bervariasi. Gunakan informasi produk yang asli di halaman ini sebagai referensi"



