BAHAYA ABSES GUSI JIKA DIBIARKAN
❗ AWASSS ❗

DAFTAR ISI
Kamu lagi ngalamin sakit gigi dan gak sembuh-sembuh? 🤔
Bisa jadi Kamu kena abses gusi tuh…
Apa Itu Abses?

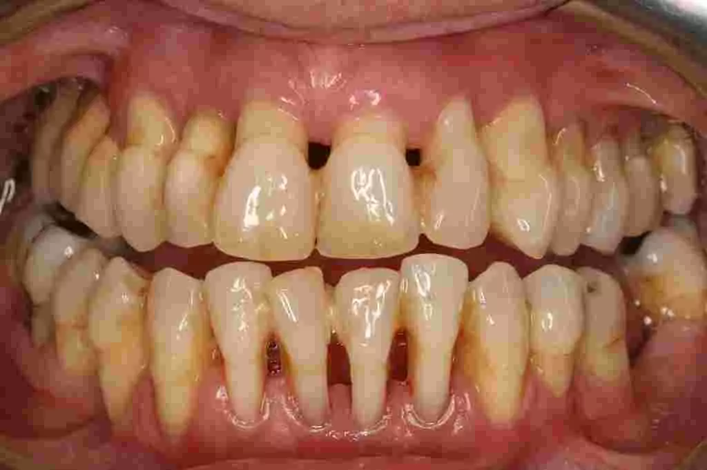
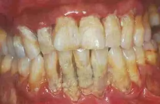
Abses gusi atau gigi merupakan kumpulan nanah akibat infeksi bakteri di dalam mulut (di sekitar gigi atau gusi).
Abses menyebabkan rasa sakit yang mengganggu dan beresiko menyebarkan infeksi ke bagian tubuh yang lain 😱
Jenis-Jenis dari abses
Abses dibagi menjadi 2 jenis, yaitu:
1. Abses gigi (Periapikal)

Abses gigi atau periapikal biasa terjadi di ujung akar gigi.
Abses ini bisa disebabkan oleh infeksi bakteri di bagian tengah gigi yang berisi pembuluh darah.
2. Abses gusi (Periodontal)

Abses gusi atau periodontal biasa terjadi di dalam gusi atau di sekitar akar gigi.
Ini biasanya terjadi akibat penyakit gusi atau trauma pada gusi.
5 Gejala yang Sering Timbul dari Abses
Ada beberapa gejala yang timbul dari abses ini.
Tapi biasanya lebih menimbulkan ketidaknyamanan, seperti:
🫢 Wajah atau pipi yang membengkak

Jika infeksi makin parah, penumpukan nanah di gusi bisa bikin area gusi yang terinfeksi jadi bengkak.
Hal ini kadang membuat pipi terlihat besar dan terasa kaku saat disentuh.
🤒 Demam dan tidak enak badan

Gejala umum lainya seperti demam, menggigil, dan tubuh yang terasa lemas 🥶
Jika gejala-gejala ini muncul, berarti infeksi sudah mulai mempengaruhi kondisi kesehatan tubuh yang lainnya
🤢 Bau atau rasa tidak sedap di mulut

Bau mulut tidak sedap muncul akibat nanah di gusi dari infeksi bakteri 🤢
Selain itu, rasa tidak enak atau pahit di mulut juga sering dirasakan ketika nanah di gusi mulai keluar.
🙀 Nyeri yang “WOW” di area yang terinfeksi

Rasa nyeri yang muncul sering berdenyut dan bisa memburuk secara tiba-tiba.
Rasa sakit ini disebabkan karena tekanan dari penumpukan nanah di gusi yang terinfeksi.
Nyeri bisa semakin terasa saat tersentuh atau mengunyah makanan 😱
😖 Sulit menelan atau membuka mulut

Jika Kamu mulai merasa kesulitan membuka mulut dan menelan makanan dan minuman, itu tanda pembengkakan abses semakin parah 🤐
Ini biasanya terjadi karena peradangan di sekitar mulut dan tenggorokan.
Cara Mengenali Abses di Rumah
Kamu bisa mencoba beberapa langkah sederhana ini di rumah untuk mengetahui seberapa parah abses Kamu.
1. Perhatikan pembengkakan dan rasa nyeri pada gusi
Coba periksa sekitar gusi yang terasa sakit. Jika ada benjolan yang disertai nyeri, terutama saat disentuh atau mengunyah, itu bisa jadi adalah abses.
2. Cek rasa nyeri yang mengarah ke gigi atau pipi
Abses sering menyebabkan rasa sakit yang menjalar ke gigi, pipi, bahkan hingga telinga.
Jika Kamu merasakan sakit yang mulai menyebar dan semakin parah, itu bisa jadi tanda abses dan memerlukan perhatian lebih.
3. Perhatikan warna gusi dan sekitarnya
Gusi yang terinfeksi akibat Abses bisa terlihat lebih merah, bengkak, bahkan keluar nanah di gusi yang bermasalah.
Jika ada nanah atau cairan aneh yang keluar, itu adalah tanda abses yang cukup jelas dan perlu segera ditangani.
Faktor Risiko dari Abses
Abses gusi bisa terjadi jika Kamu tidak merawat atau menjaga kebersihan mulut dengan baik.
Beberapa kebiasaan yang jadi faktor risiko, seperti menyikat gigi terlalu keras, menggertakan gigi, atau gusi yang menurun, bisa memperburuk kondisi.
Selain itu, kebiasaan makan makanan manis atau asam juga bisa merusak email gigi dan membuat gusi lebih rentan terkena infeksi.
5 Penyebab Munculnya Abses
Kamu udah tau nih gejala umum yang bisa muncul jika terkena abses.
Sekarang, Kamu juga perlu tau kenapa abses gusi bisa muncul:
🦠 Infeksi bakteri

Abses biasanya terjadi karena infeksi bakteri yang berkembang di mulut, terutama di area yang sulit dijangkau sikat gigi.
Bakteri ini masuk melalui gigi yang sudah rusak atau celah pada gusi yang terluka.
Begitu bakteri berhasil masuk, mereka akan memicu peradangan dan membentuk nanah di gusi yang terinfeksi.
🦷 Gigi berlubang (karies)

Gigi berlubang yang tidak diobati merupakan salah satu penyebab abses gusi.
Lubang pada gigi menjadi pintu masuk bagi bakteri, yang kemudian bergerak menuju pulpa gigi.
Setelah bakteri mencapai pulpa, infeksi akan menyebar ke akar gigi dan sekitarnya, membentuk abses periapikal yang bisa sangat menyakitkan.
🫢 Penyakit gusi (periodontitis)

Penyakit gusi yang parah (periodontitis) dapat menyebabkan kerusakan pada jaringan gigi, termasuk gusi.
Saat jaringan tersebut rusak, bakteri akan lebih mudah masuk dan menyebabkan abses periodontal.
Penyakit gusi yang tidak diobati juga dapat menciptakan kantong periodontal, yang jadi tempat berkembang biaknya bakteri 🙀
😷 Sistem kekebalan tubuh yang lemah

Orang dengan sistem kekebalan tubuh yang lemah lebih rentan terhadap infeksi, termasuk terkenanya infeksi abses.
😖 Kebersihan mulut yang buruk

Kebersihan mulut yang buruk dapat meningkatkan risiko pembentukan plak dan karang gigi.
Plak yang menumpuk dapat menyebabkan gigi berlubang dan penyakit gusi, yang menjadi faktor pemicu utama terjadinya abses.
Akibat Jika Abses Tidak Disembuhkan
Jika Kamu sudah mengalami Abses seperti di atas…
…Kamu perlu berhati-hati ❗
Apabila abses tidak segera disembuhkan atau dibiarkan saja, bisa memicu masalah yang lebih serius, seperti:
1. Infeksi menyebar
Abses yang tidak diobati bisa menyebarkan infeksi bakteri ke bagian tubuh yang lain, seperti tenggorokan, jantung, atau paru-paru 🙀
2. Kerusakan pada gigi dan gusi
Infeksi yang berlangsung lama dapat merusak jaringan sekitar gigi, termasuk gusi dan tulang rahang.
Kerusakan jaringan bisa menyebabkan gigi lepas atau gusi yang terluka secara permanen 😖
3. Nyeri yang lebih parah
Abses yang tidak ditangani bisa menyebabkan rasa sakit yang semakin parah.
Tekanan dalam abses yang terus meningkat dapat menimbulkan rasa sakit yang tidak tertahankan 😣
4. Pembengkakan wajah
Infeksi dapat menyebabkan pembengkakan pada wajah, terutama di sekitar gigi yang terinfeksi.
Pembengkakan ini bisa menyebar ke pipi atau bawah mata, sehingga mengganggu penampilan dan kenyamanan 😨
4 Cara Menyembuhkan Abses di Rumah
Kamu udah tau nih penyebab dari abses Kamu itu apa.
Selanjutnya, Kamu juga harus tau bagaimana cara mengatasi abses itu sendiri.
Ada beberapa cara yang bisa bantu Kamu dalam menangani abses ini:
🧊 Kompres dengan air dingin atau es batu
Kompres dingin pada pipi yang bengkak dapat membantu mengurangi pembengkakan dan meredakan rasa sakit.
Tempelkan kompres es pada area yang sakit selama 10 – 15 menit, dan ulangi beberapa kali sehari 🥰
Dalam pengompresan jangan terlalu lama atau terlalu kuat, karena bisa menyebabkan iritasi kulit atau memperburuk rasa sakit.
🫗 Berkumur dengan air garam hangat
Air garam memiliki sifat antiseptik yang dapat membantu mengurangi infeksi ringan.
Caranya mudah, cukup larutkan satu sendok teh garam dalam segelas air hangat, lalu berkumur selama beberapa menit. Ulangi beberapa kali sehari.
Namun, perlu diperhatikan! Jika digunakan terlalu sering atau air garam terlalu pekat, bisa bikin gusi jadi iritasi atau kering.
🛡️ Menghindari pemicu nyeri
Selama masa infeksi, hindari makanan dan minuman yang bisa memperburuk rasa sakit, seperti:
🚫 Makanan atau minuman panas dan dingin
🚫 Makanan keras atau renyah
🚫 Makanan manis
Bakteri di mulut akan memanfaatkan kandungan ini untuk memperparah infeksi.
Jika terus-menerus mengonsumsinya, infeksi bisa semakin parah dan penyembuhan semakin lama.
🍵 Kantong teh hitam hangat
Teh hitam mengandung tanin, yang bersifat antibakteri dan anti-inflamasi.
Menggunakan kantong teh hitam hangat pada area yang terinfeksi dapat membantu mengurangi peradangan dan menarik nanah keluar.
Namun, jangan terlalu lama menempelkannya.
Penggunaan yang berlebihan bisa menyebabkan iritasi atau memperburuk kondisi infeksi.
3 Obat untuk Meredakan Abses
Jika Kamu sudah ngelakuin semua untuk mengatasi abses di atas, tapi tak kunjung sembuh juga.

Kalau mau (dan tidak takut efek samping) Kamu bisa coba mengkonsumsi obat kimia, seperti:
1. Ibuprofen
Obat anti-inflamasi nonsteroid (NSAID) ini bisa membantu Kamu meredakan nyeri sekaligus mengurangi peradangan.
Tapi, Ibuprofen bisa menyebabkan iritasi lambung, sakit perut, mual hingga muntah.
Penggunaan jangka panjang dari Ibuprofen bisa meningkatkan risiko perdarahan lambung atau usus, serta efek negatif pada ginjal.
2. Parasetamol (Acetaminophen)
Obat ini bisa mengurangi nyeri ringan hingga sedang, termasuk dengan abses.
Obat ini bisa lebih aman untuk lambung daripada Ibuprofen.
Namun, meski umumnya lebih aman untuk lambung, Parasetamol bisa menyebabkan kerusakan hati jika dikonsumsi dalam dosis tinggi atau jangka panjang.
3. Asam Mefenamat
Sering digunakan untuk mengobati abses gusi.
Seperti obat yang lainnya, Asam Mefenamat bisa menimbulkan sakit perut, diare, mual hingga pusing.
Penggunaan jangka panjang atau dalam dosis tinggi juga bisa menyebabkan masalah pada lambung Kamu.
⚠️ ⚠️ ⚠️
hati-hati!!
Mengkonsumsi obat kimia secara berlebihan dapat berdampak negatif bagi tubuh Kamu.
Selain itu, tidak menjamin abses Kamu akan langsung sembuh.
Jika mencari alternatif pengobatan dan produk obat yang aman dan alami, tanpa mengorbankan efektivitas, Kamu bisa mencoba solusi herbal untuk mengobati abses.
Solusi Herbal untuk Menyembuhkan Abses

Gumafixa Satu-Satunya Obat Sakit Gigi Herbal Yang Terdaftar di BPOM
Terbuat dari Oleum Syzigium Aromantiticum Folium (minyak cengkeh) dan Peppermint (daun mint) (tanpa tambahan bahan kimia), Gumafixa sudah teruji klinis oleh Badan POM RI.
Gumafixa sudah dipercaya ampuh mengatasi masalah gigi dan mulut, salah satunya abses 😉
Karena berbahan herbal 100% Kamu bisa merawat kesehatan mulut di rumah dengan Gumafixa tanpa khawatir akan efek samping.
Keunggulan Obat Sakit Gigi Gumafixa


Obat Sakit Gigi Herbal Terbaik di Indonesia, Terbukti 15X Lebih Efektif

Menyembuhkan Sakit Gigi Dalam 1-2 Menit

Membunuh Bakteri dan Kuman di Sekitar Gigi dan Gusi

100% Herbal Tanpa Campuran Kimia dan Tanpa Efek Samping

Obat Sakit Gigi Herbal Pertama yang RESMI Terdaftar di BPOM

11.746+ orang Sudah Merasakan keampuhan Gumafixa

beberapa testimoni pelanggan yang sudah membuktikan keampuhan Gumafixa
Segera atasi sakit gigi Kamu dan orang terkasihmu dengan Gumafixa.
“Cara pakai Gumafixa gimana ya?“
Cara pakai Gumafixa sangat mudah, Kamu cukup lakukan 3 langkah berikut:
- Teteskan obat sakit gigi Gumafixa di kapas,
- Tempelkan pada area abses, tahan hingga 2 – 3 menit,
- Lepaskan kapas dan rasakan gigi kebebasan dari sakitnya abses.
Dewasa : 3-4 tetes, 3 sampai 4 kali sehari.
Anak usia 2 tahun+ : 1-2 tetes, 2 sampai 3 kali sehari.
“Berapa sih harga Gumafixa??“
Harga Gumafixa cuma 200 ribu lhoo…
Dengan harga 200 ribu:
- Kamu terbebas dari abses gusi 🥳
- Gigi Kamu gak jadi dicabut karena abses udah hilang 😁
- Lambung dan ginjal aman karena 100% non-kimia 💊
- Makan dan minum lebih nikmat lagi 😋
- Hidup lebih produktif dan enjoy dalam menjalankan aktivitas sehari-hari 💃
“Tertarik nih, tapi ada diskon gak ya??“
KHUSUS HARI INI
GUMAFIXA SEDANG DISKON
*Kuota diskon terbatas hanya untuk 10 pembeli pertama!

200 RIBU
175 rb
Diskon akan berakhir dalam:
Dari harga Gumafixa di atas Kamu juga akan mendapatkan benefit:
✅ 100% Konsultasi Gratis (24/7 365)
✅ Gratis Ongkir (Hingga 25.000)
✅ Bisa COD (Bayar di Tempat)
✅ Pengiriman Cepat (Bisa Instant & Same Day)
✅ Jaminan Produk Asli Dengan Harga Termurah
"tapi... Cara Belinya gimana ya??"
Tenang... Kamu gak perlu bingung.
Kamu bisa mengisi form dibawah ini untuk membeli GUMAFIXA, sekaligus konsultasi dan bisa mendapatkan promo spesial lainnya 😍
Kami siap mengirimkan GUMAFIXA di manapun Kamu berada di seluruh Indonesia dan Kami siap melayani 24 jam non-stop 😉
Atau, jika Kamu punya aplikasi Shopee, Tiktok, atau Tokopedia, Kamu tinggal tanya ke Customer Service Kami.
Kamu akan diberikan Link Produk dari Toko Official Kami.
Hati-hati sudah banyak barang tiruan GUMAFIXA, jadi pastiin Kamu dapat link langsung dari Customer Service Kami, Ya 😊

Kamu akan mendapatkan garansi 100% uang kembali jika:
- Produk yang Kami kirim bukan produk asli
- Produk tidak sampai di tangan Kamu
- Produk yang diterima rusak atau tidak sesuai pesanan
Terimakasih telah membaca sampai selesai, semoga dengan Gumafixa permasalahan abses Kamu terselesaikan 🙏
Disclaimer :
"Hasil setiap orang dapat berbeda-beda tergantung pada kondisi tubuh serta tingkat masalah yang dimiliki. Manfaat yang dirasakan setelah pemakaian produk juga bervariasi. Gunakan informasi produk yang asli di halaman ini sebagai referensi"





